Æø¿×£¨Æ÷£©

Ö²Îï±íƤÉÏÁ½¸öÌØ»¯µÄϸ°û©¤©¤±£ÎÀϸ°ûºÍÓÉÆäÎ§ÈÆÐγɵĿª¿Ú£¨¿×£©µÄ×ܳƣ¨¼û²Êͼ£©¡£Æø¿×ÊÇÖ²ÎïÌåÓëÍâ½ç½»»»ÆøÌåµÄÖ÷ÒªÃÅ»§¡£ÓÐЩֲÎïÆø¿×µÄÖÜΧ»¹ÓÐÒ»¸ö»ò¼¸¸öºÍÒ»°ã±íƤϸ°ûÐÎ×´²»Í¬µÄ¸±ÎÀϸ°û¡£¸±ÎÀϸ°û³£³£ÓÐÒ»¶¨µÄÅÅÁз½Ê½¡£

´óÀí»¨Ò¶±úµÄºñ½Ç×éÖ¯ СÂóÒ¶±íƤ£¬Ê¾Æø¿× ÂûÍÓÂÜÒ¶±íƤ£¬Ê¾Æø¿× Ó¡¶ÈÏðƤÊ÷Ò¶ºáÇУ¬Ê¾ÖÓÈéÌå Àæ¹ûÈâʯϸ°û Þ¹Ò²ݵÄÏÙϸ°û ÂÞººËÉʯϸ°û É£¾¥ºáÇУ¬Ê¾Æ¤¿×

Æø¿×´æÔÚÓÚËùÔÚά¹ÜÖ²ÎïµØÉϲ¿·ÖµÄÆ÷¹ÙÖУ¬ÔÚÒ¶×ÓÉÏ×î¶à¡£ÓÐЩ̦޺ֲÎïÒ²ÓÐÆø¿×£¬Èçºù«޺¡£´ó¶àÊýË«×ÓÒ¶Ö²ÎïµÄ±£ÎÀϸ°ûΪÉöÐΣ¬¶øµ¥×ÓÒ¶Ö²Îï¶àÎªÑÆÁåÐΣ¨Í¼1£©¡£

ͼ1

Æø¿×µÄÊýÄ¿Óë·Ö²¼

ÔÚҶƬµ¥Î»Ãæ»ýÖеÄÊýÄ¿¶àÉÙÒÔ¼°·Ö²¼×´Ì¬£¬ÒòÖÖ¶øÒì¡£ÓÐЩֲÎïҶƬµÄÉÏ±íÆ¤ºÍÏÂ±íÆ¤¶¼ÓÐÆø¿×£¬µ«ÏÂ±íÆ¤½Ï¶à£»ÓÐЩֲÎïÆø¿×Ö»ÏÞÓÚÏÂ±íÆ¤£»ÉÙÊý¸¡ÔÚË®ÃæµÄÒ¶×Ó£¬ÀýÈç˯Á«£¬Æø¿×½ö¼ûÓÚÉÏ±íÆ¤£»»¹ÓÐЩֲÎïÆø¿×½ö·Ö²¼ÓÚÒ¶µÄÏÂ±íÆ¤µÄ¾Ö²¿ÇøÓò£¬Èç¼ÐÖñÌÒ¡£³ÁˮֲÎïµÄÒ¶£¬Ò»°ãûÓÐÆø¿×¡£Æø¿×µÄ·Ö²¼Óë»·¾³Óйأ¬Ðí¶àҶƬµÄÏÂ±íÆ¤Æø¿×¶à»òÈ«²¿·Ö²¼ÔÚÏÂ±íÆ¤ÉÏ£¬ÊǶԸɺµ»·¾³µÄÊÊÓ¦¡£

Æø¿×µÄÀà±ð

¸ù¾ÝÆø¿×ÓëÁÚ½üϸ°ûµÄλÖùØÏµ£¬Ò»°ã½«Ë«×ÓÒ¶Ö²ÎïµÄÆø¿×·ÖΪ4ÖÖÀàÐÍ£º

£¨1£©ÎÞ¹æÔòÐÍ£¬±£ÎÀϸ°ûÓɼ¸¸öϸ°û°üΧ£¬ÕâЩϸ°ûÔÚÐÎ̬ºÍ´óСÉÏÓëÆäËû±íƤϸ°ûÒ»Ñù£¬Ã«Ý¢¿Æ¡¢ºù«¿ÆºÍÐþ²Î¿ÆµÈÖ²ÎïÊô´ËÐÍ£»

£¨2£©²»µÈϸ°ûÐÍ£¬±£ÎÀϸ°û±»3¸ö´óС²»µÈµÄ¸±ÎÀϸ°û°üΧ¡£ÈçÊ®×Ö»¨¿Æ¡¢ÇÑÊôºÍ¾°ÌìÊôÖ²Î

£¨3£©Æ½ÁÐÐÍ£¬Ã¿¸ö±£ÎÀϸ°ûÍâ²àÓÐÒ»¸ö»ò¼¸¸ö¸±ÎÀϸ°û£¬¸±ÎÀϸ°ûµÄ³¤ÖáÓë±£ÎÀϸ°ûµÄ³¤ÖáÆ½ÐУ¬ÈçÜç²Ý¿Æ¡¢Ðý»¨¿Æ£¬Â仨ÉúÊô¡¢ôø¶¹Êô¡¢²Ë¶¹ÊôµÈ£»

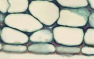
£¨4£©ºáÁÐÐÍ£¬Ã¿¸öÆø¿×±»Á½¸ö¸±ÎÀϸ°û°üΧ£¬Á½¸ö¸±ÎÀϸ°ûµÄ¹²Í¬±ÚÓëÆø¿×µÄ³¤Öá´¹Ö±¡£ÈçʯÖñ¿Æ£¨Í¼2£©¡£

ͼ2

µ¥×ÓÒ¶Ö²ÎïµÄÆø¿×Ò²¿É·ÖΪ4ÖÖÀàÐÍ£¨Í¼3£©£º

£¨1£©±£ÎÀϸ°ûÓÉ4¡«6¸ö¸±ÎÀϸ°û°üΧ£¬ÈçÌìÄÏÐǿơ¢Ñ¼õŲݿơ¢°Å½¶¿Æ¡¢ÃÀÈ˽¶¿ÆºÍ½ª¿ÆµÈÖ²Î

£¨2£©±£ÎÀϸ°ûÓÉ4¡«6¸ö¸±ÎÀϸ°û°üΧ£¬ÆäÖÐÁ½¸ö½ÏС£¬ÂÔ³ÉÔ²ÐΣ¬²¢Î»ÓÚÆø¿×Á½¶Ë£¬Èç×Øéµ¿Æ¡¢Â¶¶µÊ÷¿ÆµÈÖ²Î

£¨3£©Æø¿×µÄÁ½±ß¸÷ÓÐÒ»¸ö¸±ÎÀϸ°û£¬ÈçÓê¾Ã»¨¿Æ¡¢ÔóкĿ¡¢É¯²ÝÄ¿¡¢µÆÐIJÝÄ¿ºÍºÌ±¾¿ÆµÈÖ²Î

£¨4£©Æø¿×ÎÞÈκθ±ÎÀϸ°û°üΧ£¬Èç°ÙºÏÄ¿¡¢ ÊíÝ÷¿Æ¡¢ ʯËâ¿Æ¡¢ð°Î²Ä¿ºÍÀ¼Ä¿µÈÖ²Îï¡£

ͼ3

¸ù¾ÝÆø¿×µÄ¸öÌå·¢Óý£¬70Äê´úÒÔÀ´£¬ÓÖÓÐÈ˽«Æø¿×·Ö³É3´óÀࣺ

£¨1£©ÖÐÔ´ÐÍ£¬±£ÎÀϸ°ûºÍ¸±ÎÀϸ°û£¬Óй²Í¬ÆðÔ´£¬¶¼ÓÉÒ»¸ö·ÖÉú»î¶¯ÖÐÐÄ·¢Óý¶øÀ´£»

£¨2£©ÖÜÔ´ÐÍ£¬¸±ÎÀϸ°ûºÍ±£ÎÀϸ°ûûÓй²Í¬À´Ô´£»

£¨3£©ÖÐÖÜÐÍ£¬ÖÁÉÙÓÐÒ»¸ö¸±ÎÀϸ°ûºÍ±£ÎÀϸ°ûÓй²Í¬À´Ô´¡£

Æø¿×µÄÆøÌåÀ©É¢

Æø¿×ÊýÄ¿Ëä¶à£¨Ã¿Æ½·½ÀåÃ×Ò¶±íÃæÉϼ¸Ç§ÖÁ¼¸Íò£©£¬µ«¿×¾¶ºÜС£¬¼´Ê¹³ä·Ö¿ª·Åʱ£¬¿×¿Ú×ÜÃæ»ýÒ²½öÕ¼Ò¶Ãæ»ýµÄ1¡«2£¥£¬¶øÒ¶×ÓµÄÕôÌÚʧˮËÙÂʿɴï×ÔÓÉË®ÃæÕô·¢ËÙÂʵÄ10¡«50£¥£¬±íÃ÷µ¥Î»Æø¿×¿×϶µÄË®ÆûͨÁ¿±Èµ¥Î»Ë®ÃæµÄ´ó¼¸Ê®±¶¡£ÕâÊÇÒòΪµ±Ð¡¿×¿×¾¶Óë±ß½ç²ã£¨¾²Ö¹²ã£©µÄºñ¶È¼°ÏàÁÚС¿×Ö®¼äµÄ¾àÀëÏà±ÈºÜСʱ£¬Ð¡¿×µÄµ¼¶ÈÓë×ÔÓÉË®ÃæÖ®±È£¬Ô¶´óÓÚÆäÃæ»ýÖ®±È¡£Í¼4±íʾˮÕôÆøÍ¨¹ýÆø¿×À©É¢µÄÇé¿ö¡£

ͼ4

Ë®ÕôÆø´ÓÒ¶Èâϸ°û±íÃæÕô·¢ºó£¬ÔÚÀ©É¢Ïò´óÆøµÄ;¾¶Öо­ÀúÈý¶Î×èÁ¦£ºÒ¶Èâϸ°û¼ä϶×èÁ¦(ri)£»Æø¿××èÁ¦£¨rs£©£»Ò¶±íÃæ±ß½ç²ã×èÁ¦(ra)¡£Æä×Ü×èÁ¦ÎªÈýÕßÖ®ºÍ¡£ÔÚ¾²Ö¹¿ÕÆøÖУ¬raºÍrsµÄ´óСÏà½ü¡£ÔÚÁ÷¶¯¿ÕÆøÖУ¬raÃ÷ÏÔ¼õС¡£ÕôÌÚËÙÂʾÍÓërs±íÏÖÃÜÇеÄÏà¹Ø¡£

Ë®ÕôÆøÍ¨¹ýÆø¿×µÄÀ©É¢ËٶȱÈCO2´óµÃ¶à¡£Ô­ÒòÔÚÓÚ£º

£¨1£©Æø¿×ÄÚÍâµÄË®ÕôÆøÅ¨¶È±ÈCO2µÄ´ó¼¸Ê®±¶£¬Òò¶øË®·ÖÏòÍâÀ©É¢µÄÍÆ¶¯Á¦±È CO2ÏòÄÚÀ©É¢µÄÍÆ¶¯Á¦´óµÃ¶à¡£

£¨2£©À©É¢×èÁ¦Óë·Ö×ÓÁ¿µÄƽ·½¸ù³ÉÕý±È¡£CO2ºÍH2OµÄÀ©É¢×èÁ¦±ÈΪ1.56£¬µ¼¶ÈǰÕßÏàÓ¦µØµÍÓÚºóÕß¡£

£¨3£©CO2±ØÐë½øÈëϸ°ûÒºÏ࣬À©É¢ËÙÂʽϵ͡£

Æø¿×¶Ô»·¾³ÒòËØµÄÏìÓ¦

¹âÕÕ¡¢CO2Ũ¶È¡¢ Ë®·ÖвÆÈºÍζÈÊÇÓ°ÏìÆø¿×¿ª±ÕµÄÖ÷Òª»·¾³ÒòËØ¡£¶àÊýÖ²ÎïµÄÆø¿×Ôç³¿Ëæ¹âÇ¿ÔöÇ¿¶ø¿ªÕÅ£¬»Æ»èÊ±Ëæ¹âÕÕ¼õÈõ¶ø¹Ø±Õ¡²¾°Ìì¿ÆËá´úл(CAM)Ö²ÎïÏà·´¡³¡£Ò¶×ÓÖÐCO2º¬Á¿¼õµÍʱ£¬Æø¿×¿ªÕÅ£»·´Ö®¹Ø±Õ¡£¹âÓëCO2ÄÜ·Ö±ðÓ°ÏìÆø¿×Ô˶¯¡£ÀýÈçµÍÓڹⲹ³¥µãµÄÈõ¹â¾ÍÄÜÒýÆðÆø¿×¿ªÕÅ£¬À¶¹âµÄ×÷ÓÃÔ¶¸ßÓÚºì¹â;ÓÃÎÞCO2µÄ¿ÕÆø´µ¹ýÒ¶Èâϸ°û¼ä϶»áʹÔÚ°µÖÐ¹Ø±ÕµÄÆø¿×ÕÅ¿ª£¬¸ßŨ¶ÈCO2Ê¹Æø¿×ÔÚ¹âϱպϵȡ£µ«ÔÚÖçÒ¹½Ú×àÏÖÏóÖУ¬¶þÕßÓн»»¥×÷Óá£ÍÁÈÀȱˮºÍ´óÆø¸Éºµ¾ùÄÜÒýÆðÆø¿×¹Ø±Õ¡£Æø¿×¿ªÕŶÈÓÐ×îÊÊζȣ»Î¶ȹýµÍ»ò¹ý¸ß¶¼²»ÀûÓÚÆø¿×¿ª·Å¡£ÔÚ×ÔÈ»»·¾³Ï£¬Æø¿×µÄ¿ª±ÕÊܶàÖÖ»·¾³ÒòËØµÄ×ÛºÏÓ°Ï죻ҲÊÜÄÚ²¿ÒòËØÈçÒ¶Áä¡¢·¢Óý½×¶ÎµÈµÄÖÆÔ¼¡£

Æø¿×¿ª±ÕµÄ»úÀí

Æø¿×¿ª±ÕÊÇÒ»ÖÖ¸ÐÐÔÔ˶¯¡£¶¯Á¦À´×Ô±£ÎÀϸ°ûÅòѹµÄ±ä»¯¡£Ë«×ÓÒ¶Ö²ÎïÆø¿×µÄ±£ÎÀϸ°û£¬¿×϶¶Ô²àµÄ°û±Ú±¡£¬µ¯ÐÔ´ó¡£´¦Ôڿ׿ڱߵİû±Úºñ¡£±£ÎÀϸ°ûÅòÕÍʱÏò¿×¿ÚÒ»±ßÍäÇú£¬ÒýÆðÆø¿×¿ªÕÅ¡£ºÌ±¾¿ÆÐÍÆø¿×µÄ±£ÎÀϸ°û£¬Á½¶ËÇòÐͲ¿·Ö°û±Ú±¡£¬Öв¿°û±Ú¼áºñ¡£µ±ÅòѹÌá¸ß¡¢Ìå»ýÔö´óʱ£¬ÆäÁ½¶ËÏòÍâÅòÕÍ£¬²¢Ïò¶Ô·½¼·Ñ¹£¬ÆÈʹλÓÚÖв¿µÄÆø¿×ÕÅ¿ª£»ÅòѹÃ÷ÏÔ¼õСʱ£¬Æø¿×Ç÷Ïò¹Ø±Õ¡£

±£ÎÀϸ°ûÖÐK+Ũ¶ÈµÄ±ä»¯Êǵ÷½ÚÆø¿×¿ª±ÕµÄ¹Ø¼ü¡£Ç峿Êܹâºó£¬±£ÎÀϸ°ûÖÐK+Ũ¶È¿ÉÉý5¡«10±¶£¬´óµ½0.3¡«0.8Ħ¶û/Éý£¬²¢ÐÎ³É´Ó±íÆ¤Ï¸°ûµ½±£ÎÀϸ°ûÉÏÉýµÄK+Ũ¶ÈÌݶȡ£Òò±£ÎÀϸ°ûË®ÊÆ¼õµÍ£¬ÒýÆðË®·ÖÁ÷È룬Ìå»ýÅòÕÍ£¬ÅòѹÔö´ó£¬Æø¿×¿ªÕÅ¡£ÌìºÚʱ£¬ÉÏÊö¸÷¹ý³ÌÄæ×ª£¬±£ÎÀϸ°ûÖÐK+ÍâÔË£¬Å¨¶È½µµ½°µÖеĵÍˮƽ£¬Æø¿×±ÕºÏ¡£±£ÎÀϸ°ûÖ翪ҹ±Õ½ø³ÌÖÐK+Ũ¶È¾Þ´ó±ä»¯µÄ»úÀíÊÇ£º

£¨1£©ÕÕ¹âʹ±£ÎÀϸ°ûÖеÄÒ¶ÂÌÌåͨ¹ý¹âºÏÁ×ËữÐγÉÏÙÜÕÈýÁ×Ëá(ATP)ºÍ»¹Ô­¸¨Ã¸¢ò(NADPH)£¬ÎªK+µÄĿō¶ÈÌݶÈÔËÊäÌṩÄÜÁ¿¡£ÊÜÀ¶¹â¼¤·¢µÄijЩ»ÆËØ£¬Ò²ÄÜΪ´ËÌṩÄÜÁ¿¡£

£¨2£©±£ÎÀϸ°ûÖдæÔÚÕûÌ×ÓëÆ»¹ûËá´úлÓйصÄøϵ¡£ÕÕ¹âʹҶÂÌËØÖÐÖü´æµÄµí·ÛºÍÌÇÏòÁ×ËáÏ©´¼Ê½±ûͪËá (PEP)ת»¯£¬PEP¾­ôÈ»¯ÐÎ³ÉÆ»¹ûËá¡£´ÓÆ»¹ûËá½âÀë³öÀ´µÄH+£¬Í¨¹ýÓÉATPºÍNADPHÇý¶¯µÄλÓÚÖÊĤÉ쵀 K+/H+½»»»±ÃºÍÁÚ½üϸ°ûÖеÄK+½»»»£¬Çýʹ´óÁ¿K+½øÈë±£ÎÀϸ°û£¬Ê¹ºóÕßÎüË®ÅòÕÍ£¬ÒýÆðÆø¿×¿ªÕÅ¡£K+µÄµçºÉ´ó²¿·ÖÓÉÆ»¹ûËáµÄÒõÀë×ÓÀ´Æ½ºâ£¬Ò»²¿·ÖÓÉÓÚCl-ºÍÆäËûÒõÀë×ÓÀ´Æ½ºâ¡£

£¨3£©ÕÕ¹âºóÒ¶ÄÚ²¿CO2Ũ¶È±äµÍ£¬Ò²¿ÉÄÜÓÐÀûÓÚÆø¿×¿ªÕÅʱK+µÄ½øÈë¡£

£¨4£©½øÈëºÚ°µÖкó£¬Çý¶¯K+/H+½»»»±ÃµÄÄÜÁ¿¹©Ó¦¼õÈõ£¬Ò¶×ÓÖÐCO2Ũ¶ÈÉý¸ß£¬±£ÎÀϸ°ûÖÐ̼´úл·½ÏòÄæ×ªÎªÓÉÆ»¹ûËáºÏ³Éµí·Û¡£ÕâЩת±ä×ãÒÔʹ±£ÎÀϸ°ûÖÐK+ºÍË®·ÖÍâÔË£¬Ìå»ýËõС£¬Åòѹ¼õµÍ£¬Æø¿×¹Ø±Õ¡£

Ë®·ÖвÆÈÒýÆðÆø¿×¹Ø±ÕÖ÷ÒªÓÐ3ÖÖÇé¿ö£º

£¨1£©Ö²ÎïÕôÌÚʧˮËÙÂʳ¬¹ý¸ùϵ¹©Ë®ËÙÂÊʱ£¬Ò¶Ë®ÊÆÓëÅòѹÃ÷ÏÔϽµ£¬ºóÕß½Ó½üÓÚÁ㣬±£ÎÀϸ°ûÌå»ýËõС£¬Æø¿×¹Ø±Õ¡£

£¨2£©ÍÁÈÀ¸Éºµ´Ì¼¤Ö²Îï¸ù²¿ºÍÒ¶×ÓÖÐÍÑÂäËá(ABA)µÄºÏ³É£¬²¢µ¼ÖÂÒ¶×Ó±íÆ¤²ã£¨°üÀ¨±£ÎÀϸ°û£©ÖеÄABAº¬Á¿Ôö¶à¡£ABA·Á°­±£ÎÀϸ°ûºÍÏàÁÚϸ°û¼äµÄK+/H+½»»»£¬×èÖ¹±£ÎÀϸ°ûÖеí·ÛºÍÆ»¹ûËáÏ໥ת»¯£¬²¢´ÙʹK+ºÍÆ»¹ûËá´Ó±£ÎÀϸ°û©ʧ£¬´Ó¶øÒýÆð±£ÎÀϸ°ûÊÕËõ£¬Æø¿×¹Ø±Õ¡£ÖÁÓÚÒ¶±íƤ²ãÖÐÔö¼ÓµÄABAÊÇÀ´×Ô¸ù²¿»¹ÊÇÒ¶Èâϸ°û£¬ÒÖ»òÊÇÔÚ±£ÎÀϸ°ûÖкϳɣ¬ÔòÉв»¿Ï¶¨¡£ÊܺµÖ²Îï¹àË®ºó£¬Æø¿×µÄÔÙ¿ª·Å³£Ã÷ÏÔ³ÙÓÚÒ¶Ë®ÊÆµÄ»ØÉý¡£

£¨3£©ÔÚ´óÆøÊª¶ÈÃ÷ÏÔϽµÊ±£¬²»ÉÙÖ²ÎïµÄÆø¿×»áѸËٹرգ¬¾¡¹Üµ±Ê±Ò¶Ë®ÊÆÏ½µ»¹²»¶à¡£ÕâÊÇÓÉÓÚÕâÀàÆø¿×µÄ±£ÎÀϸ°ûÏòÆø¿×ÏÂǻһ²à»òÓëÁÚ½üϸ°û½»½Ó²¿Î»°û±Ú½ÇÖÊ»¯³Ì¶ÈµÍ£¬Õô·¢ÍúÊ¢£¨ºóÕß³ÆÎªÖܱßÕôÌÚ£©£¬ÖÂʹ±£ÎÀϸ°ûµÄË®ÊÆÏ½µÉõÓÚÒ¶Ö÷ÌåË®ÊÆµÄϽµ£¬ÒýÆðÆø¿×¹Ø±Õ¡£

Æø¿×¿ª±ÕµÄÉúÀíÉú̬ÒâÒå

½ÉúÖ²ÎïµÄÖ÷Ҫì¶ÜÖ®Ò»£¬ÊÇÔÚÎüÊÕCO2ͬʱ£¬²»¿É±ÜÃâµØÉ¢Ê§´óÁ¿Ë®·Ö¡£ÓÉÓÚÖ²Îï¾­³£ÃæÁÙË®·ÖвÆÈ£¬Ê¹Æø¿×¶Ô»·¾³µÄÏìÓ¦£¬ÇãÏòÓÚÒÔ×îСµÄÕôÌÚÀ´»»È¡×î´óµÄ¹âºÏ×÷Óá£Æø¿×Ö翪ҹ±Õ£¬Ê¹Ò¶Æ¬°×ÌìÄܽøÐйâºÏ×÷Óã¬Ò¹¼äÈ´²»ÕôÌÚʧˮ¡£ÀèÃ÷Ê±Æø¿×ºÜ¿ì¿ªÆô£¬¿ÉʹֲÎïÔÚ¸ßʪ¶È¡¢µÍÕôÌÚÇé¿öϹ̶¨CO2¡£Ö®ºó£¬Ëæ¹âÕÕÔöÇ¿£¬Æø¿×¿ªÕŶȼӴ󣬿ÉÈÝÐí¸ü¿ìµÄCO2½»»»ÒÔÀûÓý϶àµÄ·øÉäÄÜ¡£ÖÐÎçµÄÁÒÈÕ¡¢ ¸ßγ£Ê¹Ö²Îïȱˮ¼Ó¾ç£¬Æø¿×Ç÷Ïò¹Ø±Õ¡£ËäÔÝʱ·Á°­¹âºÏ×÷Ó㬵«¿ÉʹֲÎïÃâÊÜÓÀ¾ÃÐÔÉ˺¦¡£´ýË®·Ö¿÷ȱ»º½âºó£¬Æø¿×»¹¿É¿ªÕÅ¡£Ä³Ð©É³Ä®Ö²ÎïµÄÆø¿×Ö»ÔÚÁ賿¶Ìʱ¼äÖÐÕÅ¿ª£¬Í¬»¯ÉÙÁ¿CO2£¬ÔÚÑÏ¿áµÄ¸ÉºµÖÐÃãÇ¿Éú´æ¡£CAMÖ²ÎïµÄÆø¿×Ò¹¿ªÖç±Õ£¬½«CO2µÄ¹Ì¶¨Ó뻹ԭÔÚʱ¼äÉÏ·Ö¿ª£¬´Ó¶ø¼«´óµØÌá¸ßÁËÄͺµÐÔºÍË®·ÖÀûÓÃЧÂÊ¡£Æø¿×¿ª±Õ¶Ô»·¾³µÄ²»Í¬ÏìÓ¦£¬·´Ó³ÁËÖ²ÎïÓ¦¸¶Éú̬»·¾³µÄÉú´æÕ½ÂԵIJîÒì¡£

Æø¿×¿ªÕÅ¶ÈºÍÆø¿×µ¼¶ÈµÄ²â¶¨

Æø¿×¿ªÕÅ¶ÈºÍÆø¿×µ¼¶ÈÓÐÖúÓÚÁ˽âÖ²ÎïµÄÆø¿×¶¯Ì¬ºÍÕôÌÚ¡¢¹âºÏµÄËÙÂÊ¡£Æä²â¶¨·½·¨ÓУº

£¨1£©Æø¿×¿ªÕŶȲⶨ¡£³£ÓÃÓ¡¼£·¨¡£½«10%µÄ´×ËáÏËά±ûͪÈÜҺͿÓÚÒ¶±íÃæ£¬Ðγɱ¡Ä¤ºó£¬È¡ÏÂÔÚÏÔ΢¾µÏ¹۲⡣´Ë·¨²»ÊÊÓÃÓÚÆø¿×¿×϶½á¹¹Òì³£µÄÖ²Îï¡£

£¨2£©Æø¿×µ¼¶È²â¶¨¡£Ä¿Ç°´ó²¿ÓÃÀ©É¢Æø¿×¼Æ¡£Ô­ÀíÊÇÓÃСÊÒÕÖסһ¶¨Ãæ»ýµÄÒ¶±íÃæ£¬²â¶¨ÆøÏàÖÐË®ÆûŨ¶ÈÔö¼ÓËÙÂÊ£¨¼´ÕôÌÚËÙÂÊ£©£¬ÔÙ»»Ëã³öÆø¶¯µ¼¶È£¨µ¥Î»Îªcm¡¤s-1£©£¬Æäµ¹Êý¼´Æø¿××èÁ¦£¨µ¥Î»Îªs¡¤cm-1£©¡£³£ÓõÄÀ©É¢Æø¿×¼ÆÓÐÈýÖÖÀàÐÍ£º²»Í¨·çµÄ˲ʱʽ£¬Í¨·çµÄ˲ʱʽ£¬ÎÈ̬ʽ¡£µÚÈýÖÖ²»±ØÊ¹ÓÃУÕýÇúÏߣ¬×îΪÀíÏë¡£±ãÐ¯Ê½Æø¿×¼ÆÄܼ«ÆäѸËÙµØÔÚÌï¼äÌõ¼þÏÂʹÓ㬲¢Í¬Ê±²âµÃÕôÌÚËÙÂʵȶàÖÖÓйØÊý¾Ý¡£