细胞和组织损伤

各种致病因子对细胞和组织造成的破坏性变化。可表现为形态学上的各种病理变化,是构成疾病的基本病理过程之一,也是发现和诊断疾病的重要依据。常根据程度不同区分为萎缩、变性和坏死 3种形式。前二者是可复性的损伤过程,细胞仍能维持不同水平的生命活动,而坏死则是细胞的“死亡”,是不可复的过程。

萎缩

已经发育成熟的器官、组织或细胞,由于物质代谢障碍而造成体积缩小和生理功能减退的过程。萎缩细胞的分解代谢超过合成代谢,因而体积缩小,数量减少,生理功能也相应降低。除生理性萎缩(又称年龄性萎缩)是因老龄动物生理功能自然减退所致外,由于某些致病因素的作用而发生的病理性萎缩可分两种:

(1)全身性萎缩。是家畜的常见病理过程。常见于长期饲料不足、严重的消耗性疾病(如结核、恶性肿瘤)、寄生虫病以及一些慢性消化道疾病等。往往相对不太重要的组织、器官先萎缩,而一些生命活动攸关的器官则萎缩较迟,程度较轻。这是机体的一种防御性适应。如脂肪组织萎缩最早,可减少90%,严重的几乎完全消失;肌肉其次,可减少45%;再次是肝、肾、脾及淋巴结等器官;而脑、心、肾上腺及垂体等的萎缩则发生最晚和较不显著。病畜表现为皮下、腹膜下、肠系膜及网膜的脂肪组织完全消失,心脏冠状沟和肾脏周围的脂肪组织变成灰白色的胶冻样物(浆液性萎缩)。全身肌肉显著萎缩变薄,色泽变淡。血液稀薄,红细胞和血红蛋白含量减少。全身出现水肿(营养不良性水肿)。肝、脾、肾的体积缩小,重量减轻,色泽较正常深。尤其是肝脏色泽常因代谢产物棕褐色素颗粒(脂褐素)在萎缩细胞内蓄积而呈灰褐色。

(2)局部性萎缩。可由各种原因引起。如因运动器官(肌肉、关节)长期不活动造成的废用性萎缩,器官组织受到机械性压迫(如肿瘤、囊尾蚴、棘球蚴)造成的压迫性萎缩及由于局部小动脉供血不足造成相应部位组织的缺血性萎缩等。它们的形态变化与全身性萎缩的基本相同。

变性

因细胞和组织的物质代谢障碍而引起的一类形态变化。特点是细胞或细胞间质内出现过多的或异常的物质,主要种类有:

颗粒变性

又称混浊肿胀,是一种最常见的轻微变性。主要特征是变性细胞的体积肿大,胞浆里出现蛋白性颗粒,故名。在机体发生急性感染、发热、缺氧、酸中毒等过程时,常见于肝、肾和心肌等实质细胞(图1)。发病初期眼观变化不明显。严重时,器官体积肿大,重量增加,肝和肾的色泽变淡,混浊无光泽,呈灰黄或土黄色,切面隆起,结构模糊。电镜下可见胞浆内线粒体肿大,形成光镜下所见的微细颗粒,内质网高尔基器扩张,核蛋白体脱失,自噬泡增多。颗粒变性的发生机理,主要是在中毒和缺氧等情况下,细胞膜损伤导致渗透性改变;细胞内氧化过程下降,又使酸性产物积聚,细胞器和大分子物质崩解,胞浆渗透压增高。这些因素都能造成细胞内吸收多量水分而发生肿胀。一般在病因消除之后能恢复正常。如病变继续发展,则可引发水泡变性或脂肪变性。

图 水泡变性

又称水样变性。特征是细胞的胞浆和胞核内出现多量水分,形成大小不一的水泡,使整个细胞呈蜂窝状结构,即细胞发生水肿(图 2)。严重时整个细胞充满水分,胞浆空白,外形如气球状,又称气球样变。常发生于皮肤和粘膜的被覆上皮。如痘疹、口蹄疫和猪传染性水疱病等皮肤和粘膜上的水疱,即由上皮细胞水泡变性发展形成。也见于肝细胞、肾小管上皮细胞、腺细胞、神经细胞及肌纤维等,往往是从颗粒变性发展而来 (见彩图)。发生机理和颗粒变性相似,但程度更加严重。一些病毒性传染病和由烫伤及冻伤所引起的上皮细胞水泡变性,可能是由于致病因子的直接作用,导致细胞代谢障碍,胞浆蛋白质溶解、吸收大量水分而形成。

图 心肌切片:水泡变性(右)和正常的(左)

水泡变性轻微的可恢复正常。但如细胞核也发生同样变性,则整个细胞崩解死亡。

脂肪变性

机体内除脂肪细胞外,其他正常细胞内脂肪与蛋白质结合成脂蛋白而存在,因而在显微镜下不见或仅见少量脂肪滴。当细胞内出现较多的脂肪滴时,称为脂肪变性。主要发生于实质细胞,而以肝脏为常见。表现为器官肿大,呈黄褐或土黄色,切面上肝小叶结构模糊,有油腻感。如同时并发淤血,切面可见暗红色的淤血部分和黄褐色的脂变部分相互交织,形成红黄相间的纹理,俗称槟榔肝。在染色切片中,可见肝细胞浆内出现大小不等的脂肪滴,严重时可见整个细胞内充满脂肪,胞核被挤于一侧或消失不见。在一般石蜡切片中,变性细胞内的脂肪滴已被溶解,仅见到留存的空泡,和水泡变性相似,可用特殊染色加以鉴别。其发生机理涉及以下一些因素:

(1)在饥饿或糖代谢障碍时(如乳牛的酮病),从脂库输入肝脏的脂肪酸数量过多,超过了肝脏氧化、合成和分泌的能力,中性脂肪就在肝细胞内蓄积。

(2)在缺氧或磷、砷、氯仿、四氯化碳等中毒时,脂蛋白合成受阻,脂肪酸在肝细胞内的氧化发生障碍。

(3)在蛋白质供应不足、磷脂或其组成成分胆碱等缺乏时,脂蛋白合成发生障碍。家畜中常见的有鸡的脂肪肝综合征和水貂的脂肝病等。现代养禽业生产的所谓鸭、鹅“肥肝”,则是人为地在饲料中限制胆碱等营养物质的供应,促使肝脏脂肪变性的结果。

(4)脂蛋白从肝细胞释出的发生障碍。脂肪变性的器官一般在病因消除后可恢复正常,严重的则发展为细胞死亡。

透明变性

又称玻璃样变。特征为在间质或细胞内出现一种同质无结构的蛋白质样物质,称透明蛋白,显微镜下观察呈红染的半透明状。透明蛋白是细胞或其产物发生病理变化而形成,由不同原因产生的透明蛋白,其化学性质不完全相同。临诊上按发生部位和发病机理分为 3种类型:

(1)小动脉管壁透明变性。常见于脾、肾及心的小动脉,由管壁炎症和坏死变化所造成,在患某些病毒性疾病(如猪瘟、马病毒性动脉炎、鸡新城疫、水貂阿留申病等),化学药品和细菌毒素中毒,局部过敏反应以及血管壁缺氧的情况下,血管壁肌层坏死,并与渗出的血浆蛋白融合一起,使整个血管壁变成均匀无结构的透明物质。

(2)纤维组织透明变性。常见于慢性炎症、瘢痕组织和增厚的器官被膜,胶原纤维之间因有一种胶原蛋白沉着而互相融合成为均匀无结构的透明物质。肉芽组织的老化就属于纤维组织的透明变性。

(3)细胞内透明滴状变性。最常见于慢性肾小球肾炎。肾小管上皮细胞因吸收原尿中的蛋白质而形成一种红染的无结构圆珠状物。此外,在慢性炎症灶的浆细胞内可见到一种均匀无结构的透明蛋白样物质,用酸性复红染成鲜红色,称复红小体(Russell氏小体),实为一种凝聚的免疫球蛋白。轻度透明变性能吸收恢复。血管壁透明变性易引起血管硬化和管腔狭窄或堵塞,进一步造成局部组织缺血和坏死。猪瘟脾脏的贫血性梗死,就是脾小体中央动脉透明变性所致。

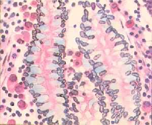
粘液和类粘液变性

粘液变性是指消化道和呼吸道粘膜受到刺激时,上皮细胞和粘液腺分泌多量粘液,同时上皮细胞发生一定程度的变性和破坏。最常见于各种病因引起的粘膜卡他性炎症。粘膜表面有多量粘液覆盖。显微镜下可见杯状细胞增多,粘液腺肥大,分泌增强,表面上皮细胞破坏脱落。粘液分泌增多具有稀释和中和毒物的作用,本质上是一种防卫措施,但同时出现细胞的破坏脱落病变。类粘液变性是指某些结缔组织因发生代谢障碍而失去原来的正常组织结构,变成一种透明粘稠的类粘液物质,是真正的退行变性过程,和上皮的粘液变性不同。全身性萎缩时脂组织的萎缩液化就是一种类粘液变性。此外,在长期营养不良、缺氧和水肿等情况下,结缔组织也会发生类粘液变性。显微镜下可见类粘液呈淡蓝色弥漫地分布在星芒状的结缔组织细胞之间。粘液变性和类粘液变性在病因消除之后,组织结构都能够恢复正常。

坏死

机体局部组织和细胞的死亡。生理性的坏死,如皮肤角化上皮细胞的脱落和红细胞的老死等。病理性的坏死则是由病因作用所引起。细胞死亡的形态变化,首先是胞浆对伊红的着染增深,线粒体肿胀,形成显微镜下可见的红染颗粒;最后细胞破裂,整个细胞的结构完全消失,变成一片细颗粒状物质。胞核的变化表现为核浓缩、核碎裂和核溶解 3种形式,都是细胞死亡的标志(图 3)。

图

组织坏死的形态变化也有 3种基本类型:

(1)凝固性坏死。由于蛋白质的凝固,组织变成一种灰白或灰黄色、干燥无光泽的物质。坏死区和正常组织之间的分界清楚,是最常见的组织坏死形式,如肾脏的贫血性梗死、马传染性贫血病的骨髓组织泛发性坏死(图 4)等均属之。由某些特殊病菌和某些组织发生的凝固性坏死,可具有一些特殊形式。如患结核病的牛、猪和鸡器官中形成的坏死灶为一种松软易碎的无结构物质,外观很象干酪或豆腐渣,故又称干酪样坏死;患白肌病的动物肌肉组织发生凝固性坏死时,则外观上肌纤维混浊,切片染色后如同石蜡,故又称蜡样坏死。

(2)液化性坏死。组织因蛋白分解酶的作用而迅速分解成液体状态,如由化脓菌感染引起的组织化脓即是。脑和脊髓因含水分和磷脂类物质较多,坏死之后也很快液化而成乳糜状物质,如马属动物的镰刀菌毒素中毒和雏鸡因缺乏维生素 E和硒而引起的脑软化症即是。

(3)坏疽。指组织坏死之后,受外界环境影响和腐败菌感染所引起的进一步变化。坏死组织外观呈现灰褐色或黑色。常发生在容易受到腐败菌感染的部位,如体表支体、肺、肠及子宫等。根据腐败菌的特点和感染程度。坏疽可以分为干性、湿性和气性3种。

图

坏死对机体的影响取决于坏死组织的性质、范围和所在部位。脑和心肌坏死常会引起严重影响,甚至危及生命。湿性坏疽的有毒分解产物被大量吸收后,可引起机体自体中毒。一般器官的小范围坏死则可通过机能代偿而不致发生严重影响;机体也能产生各种不同的反应,清除坏死组织或消除其有害作用,如由巨噬细胞吞噬消化,由蛋白分解酶分解液化,再由淋巴管和血管吸收,并通过再生而修复其缺损等等。体表皮肤的较大面积坏死可从体表脱落下来,如慢性猪丹毒常见大片皮肤坏疽脱落。当坏死组织不能全被吸收或分离脱落时,坏死区周围会有肉芽组织增生,伸入到坏死区中把坏死组织逐渐溶解和替代,最后形成纤维性瘢痕。这个过程称为坏死组织的机化,是一种很常见的处理坏死组织的方法。如果坏死组织不能被肉芽组织替代机化,则可以由新生肉芽组织在坏死区周围形成很厚的包膜,把坏死组织包裹起来。这个过程称为包囊形成。 (见彩图)

心肌切片:萎缩的(右)与正常的(左) 马脾脏中央动脉壁的透明变性 马小肠上皮的粘液变性