胚囊

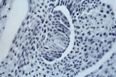
包藏于被子植物珠心中的一种高度特化的雌配子体,为大孢子有丝分裂的产物(见彩图)。一般为 8核、7细胞的结构,包括一个卵细胞、两个助细胞、两个中央细胞核(极核)和3个反足细胞(图1)。受精后、受精卵在胚囊内发育成胚,受精的极核发育成胚乳。

图 小麦大孢子的发育——大孢子孢原细胞 小麦大孢子的发育——大孢子母细胞 小麦大孢子的发育——2核胚囊 小麦大孢子的发育——4核胚囊 小麦大孢子的发育——成熟胚囊 小麦大孢子的发育——双受精 小麦大孢子的发育——双受精 小麦大孢子的发育——花粉管萌发

1847~1861年德国植物学家W.霍夫迈斯特首先在胚囊的两极上看到两个细胞群,并认为靠近珠孔端的细胞群(卵器)能产生胚,因此认为卵器与裸子植物的颈卵器是同源的。1879年德国细胞胚胎学家E.A.施特拉斯布格采用分叉蓼作研究材料。 确切地说明了单孢8核胚囊发育的情况。这种蓼型胚囊是最常见的一种。所以又把它称为“正常型”胚囊。

类型

奥地利植物胚胎学家K.施拉夫1931年最先划分出不同的胚囊类型,继后1950年印度植物胚胎学家P.马赫什瓦里作了进一步的总结。胚囊发育包括大孢子发生和雌配子体形成两个步骤。根据大孢子母细胞减数分裂后参加形成胚囊的大孢子核数目的不同,被子植物胚囊可分成单孢、双孢和四孢胚囊3种主要类型(图2)。

图2

单孢胚囊的特点是大孢子母细胞经过减数分裂Ⅰ和Ⅱ产生4个线形排列的大孢子,其中3个退化,只有一个大孢子进一步发育成胚囊。双孢胚囊的特点是大孢子母细胞进入减数分裂Ⅱ,另一个二分体细胞退化。有功能的二分体细胞在进行减数分裂Ⅱ时,不形成细胞壁,这样产生的两个大孢子核都参与胚囊形成。四胞胚囊的特点是减数分裂Ⅰ与Ⅱ都不产生壁,结果形成4个大孢子核,并全部参与胚囊形成。由于胚囊发育的细节有很大差异,因此上述3种主要类型的胚囊又可再分为若干不同类型。P.马赫什瓦里1950年根据大孢子分裂次数、是否存在核融合、成熟胚囊中细胞数目、排列和染色体倍性等特征,把胚囊划分为10个类型。

蓼型

由合点端有功能的一个大孢子经过 3次连续有丝分裂形成,最初8个核分为两群,每群4个核,一群在胚囊的珠孔端,另一群在合点端。然后,珠孔端那群产生构成卵器的一个卵细胞和两个助细胞,以及一个上极核;合点端那群形成3个反足细胞和一个下极核。上、下极核都属于中央细胞。所以成熟胚囊为8核、7细胞的结构。被子植物大约有70%以上的科其胚囊属于这种发育类型。

月见草型

J.M.格尔茨1908年首次在月见草属中发现。它是由珠孔端的大孢子经过两次有丝分裂后产生的,所以成熟的胚囊为4个细胞结构。

葱型

双孢胚囊,是E.A.施特拉斯布格1879年最先在葱中发现的。它的发育特点是,两个大孢子核经过两次有丝分裂,形成与蓼型相似的8个胚囊。

四孢胚囊发育比较复杂,根据减数分裂后4个核的不同排列,可把它们分成3个组:第1组──贝母型,小白花丹型和德鲁撒型,4个大孢子呈1+3排列: 珠孔端1个,合点端3个。第2组──五福花型,4个大孢子核呈2+2排列:合点端和珠孔端各有2个大孢子核。第3组──皮耐亚型,椒草型和白花丹型,4个大孢子呈1+1+1+1排列,即胚囊的两核和两侧各有一个大孢子核。

贝母型

V.班巴基奥尼1928年在研究贝母属和百合属胚囊之后,发现减数分裂形成的4个大孢子核不直接进入8核阶段,而是代之以“次生四核阶段”。即4个大孢子核先形成1+3排列,合点端3个核彼此紧密靠拢。当珠孔端那个核正常分裂时,合点端3个纺缍体融合成一共同纺锤体,形成一个3倍体核,然后再一分为二。结果,珠孔端两个单倍体核,而合点端两个为三倍体核。它们各自再分裂一次,才形成8核胚囊。但是,贝母型8核胚囊的核倍性与正常蓼型胚囊不同,前者的下极核与反足细胞为三倍体,后者为单倍体。

小白花丹型

是 F.法格林德和 J.W.博伊斯分别在1938和1939年研究小白花丹时发现的。它与贝母型的区别在于,胚囊经“次生二核”后,终止在“次生四核”阶段。所以成熟胚囊只有4个核。

德鲁撒型

A.霍坎松1923年在伞形科的 Drusa op-positifolia中发现了这一类型。其大孢子形成阶段与贝母型相似。 但胚囊基部的3个大孢子核不融合。这样,1+3排列的核经过2次有丝分裂,形成4+12排列的16核胚囊。

五福花型

是B.约恩松1879~1880年首先在五福花上描述的。其4个大孢子核经过一次有丝分裂,就产生类似蓼型的8核胚囊。

皮耐亚型

是E.L.斯蒂芬斯1909年在皮耐亚科的皮耐亚属、Brachysiphon属和Sarcocolla属看到的,其胚囊发育方式非常特殊。4个大孢子核经过2次有丝分裂,产生16核胚囊。椒草型和皮耐亚型一样为16核胚囊,但成熟胚囊的细胞排列不一样。

白花丹型

是A.W.豪普特1934年描述的兰茉莉胚囊类型,它与皮耐亚属的主要区别在于:4个大孢子核只经一次有丝分裂,结果形成1个特殊的8核胚囊。白花丹型胚囊特点是不具助细胞。

此外,根据核的数目和细胞排列的变异等,有人把胚囊分成11、13或16个类型。

结构与功能

被子植物胚囊最普遍的形态是8核、7细胞的结构。这种胚囊除蓼型外,还有葱型、五福花型和贝母型。卵一般伴有2个助细胞,椒草型为1个助细胞,白花丹型和小白花丹型不具助细胞。反足细胞普遍存在,但其数目与倍性是有变异的。胚囊与其周围细胞的接触面,往往具传递细胞的结构,胞壁具内突,这些都与营养物质运输和吸收有关。有些植物的胚囊具吸器。

胚囊的重要组成部分。它与 2个助细胞构成卵器。卵细胞在朝珠孔方向的壁较厚,朝合点端的壁逐渐变薄。小麦、玉米和棉花等卵细胞的合点端则没有壁。树兰卵细胞虽然整个壁一样厚。但在合点端有许多指状胞壁突起,其染色呈PAS正反应,表明这个突起类似于助细胞的丝状器。由于兰茉莉胚囊不具助细胞,所以卵还兼有助细胞的功能。

助细胞

两个助细胞彼此接触,朝珠孔端略尖或弯曲。助细胞的壁不完整,从珠孔端向合点端方向助细胞壁逐渐变薄。无壁区的助细胞原生质由双层膜隔开:其中一层为助细胞膜,另一层为中央细胞膜。每个助细胞的珠孔端有丝状器,丝状器是一团指状细胞壁内突,类似于“传递细胞”的壁。它有助于细胞从珠心吸收营养并运输到胚囊中去。在角葱和Allium pulchellum助细胞可变成8倍体。正常的助细胞保持在胚囊范围之内,但菊科植物的助细胞可突破胚囊,向珠孔方向生长。芸香科有些植物的助细胞极度扩张,形成助细胞吸器。它伸出胚囊后可能侵入到花柱基部中去。有的植物在受精前一个助细胞即退化,花粉管从它中间通过,如棉花。

中央细胞

胚囊中的最大细胞。其细胞壁从胚囊的珠孔端到合点端,变化很大。在棉花中与珠心相邻的那一部分壁较厚。卵和助细胞突进中央细胞的部分看来没有胞壁。中央细胞与卵、助细胞和反足细胞之间通过胞间连丝联系。中央细胞核一般2个,称极核,位于细胞中央或靠近侧面的细胞质中。中央细胞富有各种细胞器,有具淀粉的质体,线粒体,高尔基体也很多,许多核糖体常以单个或多核糖体形式存在。棉花的中央细胞具中央大液泡,液泡中常富含糖、氨基酸和无机盐。

反足细胞

一般在受精前后退化。有时会出现体积扩大和数目增多的现象。禾本科植物受精后反足细胞可发生一系列有丝分裂,形成几十个甚至多达几百个反足细胞,如竹亚科的箬竹。玉米约有20个反足细胞,每个细胞含1~4个核。玉米反足细胞分裂时,许多细胞的壁是不连续的、与邻近细胞的细胞质相通,形成一个多核原生质体,称为合胞体。玉米反足细胞与珠心细胞接触的壁具内突,有传递细胞结构;在罂粟属及其他植物的反足细胞也观察到有类似的壁内突,以增加质膜的表面积,它们的主要功能是对溶质进行短途运输。在玉米反足细胞中,富含线粒体、质体和高尔基器,细胞质中充满内质网或高尔基体产生的小泡。反足细胞有蛋白质、过氧化物酶、细胞色素氧化酶、维生素C和氨基化合物,还有低浓度的核糖核酸(RNA)和多糖。茜草科的Putoria属和猪殃殃属的反足细胞常延伸得很长,形成吸器。在蒿属,基部反足细胞经常伸展并穿入合点组织,最终可达到子房腔。二色金光菊具有三倍体反足细胞。有些毛茛科植物的反足细胞很大,呈腺体状。如驴蹄草反足细胞最初为双核的,然后这两个反复分裂形成4倍体或8倍体。

胚囊吸器

大多数被子植物胚囊的整个表面具有吸收机能。可以消化邻接的珠心细胞以致珠被内层细胞。有些植物胚囊的吸器生长较快,可从它的珠孔端或合点端吸器延伸穿出胚珠,或从中央细胞长入子房壁,起吸收的作用。有些植物珠心被完全消耗之后,胚囊与珠被内表皮层细胞直接接触。在这种情况下,珠被内表皮形成腺质珠被绒毡层,其特点与花药腺质绒毡层相似,具有吸收和供应营养的功能。河苔草科由于不具胚乳,所以胚乳的功能被胚柄和假胚囊所代替。假胚囊是由大孢子母细胞之下的珠心细胞纵向扩大构成的。这些珠心细胞胞壁很薄。在原胚时期破裂形成一个大空腔──假胚囊。有些植物早在大孢子母细胞进行减数分裂时,假胚囊就开始发育。假胚囊含有一些游离核和浓稠细胞质,它们逐渐被发育的胚所消耗。

演化

一般认为蓼型胚囊是比较原始的,因为它是单孢起源方式,与裸子植物雌配子体的单孢起源相似。但是,直到现在还没有找到裸子植物颈卵器与被子植物胚囊之间联系的直接证据。因此,对胚囊在系统发育中的起源问题,迄今仍有各种不同意见。

参考书目
  1. S.S.Bhojwani,S.P.Bhatnagar,The Embryology of An giosperms,Vikas Publishing House,pvt.Ltd.,Delhi,1974.