维管植物体轴的地下部分,主要起固着和吸收作用,同时还有合成和贮藏有机物质,以及进行营养繁殖的功能。根上不生长叶和花,它虽然和茎一样有分枝,但分枝(侧根)来源不同。藻类和苔藓植物没有根,蕨类植物中最原始的松叶蕨、梅西蕨和古代最早的陆生化石莱尼蕨也没有真正的根,只在地下的根状茎上有具吸收功能的假根;大多数现存的蕨类植物、裸子植物和被子植物才有真正根的结构。

根系

一株植物全部根的总称。种子萌发后,由胚根发育的根,称为主根,大多数裸子植物和双子叶植物的主根继续生长,明显而发达。由主根及各级侧根组成的根系,称为直根系。单子叶植物的主根在生长一个短时期后,即停止生长而枯萎,并由茎基部节上产生大量不定根,这些不定根也能继续发育,形成分枝,整个根系形如须状,故称须根系(图1)。大多数蕨类植物的根系,也是由不定根所组成,这些不定根从茎、根状茎发育而来。

图

根系在土壤中伸展的范围及根量的多少,与植物种类和外界环境,如土壤的结构、通气程度以及水分状况等有关。一般直根系伸入土壤的深度,大于须根系。大多数木本植物的主根深达10~12米,某些生长在干旱沙漠地区的植物,如骆驼刺的根系可伸入土层达20米左右。禾本科植物的须根系入土较浅,一般仅20~30厘米。木本植物根系在土壤中的伸延范围,直径可达10~18米,常超过树冠的好几倍;草本植物如南瓜为6~8米;禾谷类植物仅40~60厘米。

俗话说的“根深叶茂”,“本固枝荣”等,都说明植物地下部分的根系,与地上部分的茎、叶等器官的生长密切相关。在农业生产上,常用控制水、肥及光照强度来调整作物的根冠比,即根系的干重或鲜重与地上部分的干重或鲜重之比,以达到作物丰产的目的。

根端

根和茎一样,顶端有分生组织。但两者的顶端结构各有其特点。在根的最顶端,有一套在顶端分生组织外面的帽状结构- 根冠。当根端向土壤深处生长时,根冠的薄壁组织细胞不断受到磨损和脱落,同时新的根冠细胞又不断地从顶端分生组织产生,使其补充而仍旧保持原状。另外,根冠外层细胞壁的高度粘液化,往往也可减少根与土壤颗粒之间的摩擦。根冠还是控制根部向地性的一种组织,是感受重力的部位。有人认为根冠细胞中所含的造粉体,是一种重力感受器。一般认为内质网和高尔基器也参与了根部向地性的作用。

根端的顶端分生组织细胞,在各类植物中不同。有的只有一个原始细胞(如一些蕨类植物);有的为两层或3层原始细胞(如大多数裸子植物和被子植物)(见顶端分生组织)。这些顶端分生组织细胞进行细胞分裂,增加细胞数目。在距顶端较远的一些细胞,生长、分化,因而使根向顶端方向伸长。当细胞成熟时,根表面的一层细胞(表皮细胞)有的壁向外突起,形成根毛。根毛的形成,标志着根的成熟,故将这一区域叫做成熟区或根毛区,细胞正在伸长的区域叫伸长区,顶端部分称为分生区(图2)。

图

初生结构

根毛区的细胞已大部成熟,并分化成各类组织,组成根的初生结构。在根的外表是由一层细胞组成的表皮层。在幼小根中,表皮由一层排列紧密的薄壁组织细胞所组成,外壁常覆盖有薄的角质层。在大多数老根中,表皮均已脱落,某些多年生草本植物根的表皮层也可长期保存,其细胞壁明显增厚和角质化。生长在热带地区的兰科植物,或附生的天南星科植物所具有的气生根,常发育成几层细胞厚的复表皮,或称根被,可防止气生根中水分的过度丧失。

表皮层上的根毛,是表皮细胞壁向外突起所形成的,一般长0.05~10毫米。表皮细胞中的原生质体与根毛相通。随着根端不断向顶端伸长,老的根毛逐渐丧失功能而萎缩,其寿命一般仅有15~20天,即由前端新产生的根毛所代替。根毛具有增加根部吸收面积的作用。

表皮层以内为皮层,它是由薄壁组织细胞所组成,细胞排列疏松,具胞间隙,尤其是生长在潮湿或水生条件下的植物,如水稻等,胞间隙常可发展成大的溶生腔,起通气作用。皮层最外一层或几层细胞,其细胞排列整齐,无胞间隙,细胞壁栓质化或硬化,称外皮层。常见于许多单子叶植物,主要起保护作用。皮层的最内一层细胞为内皮层,细胞排列紧密,无胞间隙,其径向壁与横向壁上具栓质的带状加厚,即凯氏带。在具次生生长的根中,内皮层与皮层一起随之脱落。在单子叶植物根中,内皮层细胞也可发育出增厚的次生壁,而对着原生木质部脊的内皮层细胞,有的仍为薄壁和具凯氏带,称通道细胞。

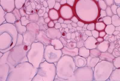
根的中央部分是由维管组织和薄壁组织组成的维管柱。它包括中柱鞘及维管组织两部分。中柱鞘在维管组织的外面,常作为中柱的分界层;它由一层或几层薄壁组织细胞连续排列构成;有的也含有厚壁组织;中柱鞘仍保留有分生能力,它是侧根、维管形成层及木栓形成层的发源地。根的维管组织排列与茎不同,初生木质部和初生韧皮部并不排在同一半径方向上,而是两者呈辐射状的相间排列。其中木质部常形成实心的中央柱,但在许多单子叶植物中,根的中心没有木质部,而是由薄壁组织或厚壁组织组成的髓。在根的横切面上,木质部分子径向排列形成的脊,在各种植物或同一种植物的不同根中,数目不同。根据根中脊的数目,可分别称为二原型、三原型、四原型、五原型和多原型。大多数蕨类植物为二原型或三原型,单子叶植物根中木质部脊的数量通常多于双子叶植物。从根的横切面看,初生木质部和初生韧皮部的分化顺序,都是由外向心的分化,即早分化的原生木质部与原生韧皮部,都发生在中柱鞘的附近,而后生木质部和后生韧皮部则深入到柱心分化。这种向心分化的方式,称为外始式。

侧根与不定根的形成

根的分枝与茎不同,茎的分枝,早在茎端上已形成原基,而根的分枝(侧根)是由根的内部组织形成,故称为内起源。在种子植物中,侧根都是从中柱鞘的细胞形成的。其发生过程是:在离根端向后一段距离的中柱鞘细胞中,开始出现平周与垂周分裂,形成侧根原基,随后象母根一样,发育出根冠、顶端分生组织及初生结构等。幼小的侧根穿过母根的皮层,一直伸出表面,其中侧根分化出的维管组织也与母根联系在一起(图3)。

图

侧根发生的位置常有一定的规律,如在二原型根中,侧根产生于韧皮部与木质部之间的部位;三原型与四原型是对着木质部的地方;在多原型根中,侧根则对着韧皮部发生,不过在有些多原型根中,也有对着木质部发生的。

通常主根对侧根的生长有一定的抑制作用,特别是在根端附近更为明显。假若将主根的根端除去,则侧根迅速长出。在园艺和蔬菜栽培上,常采用幼苗移栽的办法,就是将伸展到耕作层以下的主根切断,促使大量侧根的发生,以便在土壤表层吸收更多的水分和养料。

不定根的外形、结构与功能同其他的根没有差别,只是它们的发生部位不是在正常形成侧根的部位,而是从植物体的其他部位,如茎、叶、地下茎及较老的根部产生。另外也可从人工离体培养的组织器官中发生。

不定根一般由靠近维管组织周围的束间薄壁组织发生。在老的木本茎中,不定根原基则起源于靠近形成层的射线细胞,甚至有的直接从形成层产生。在插条、植物受伤部位或离体组织、器官培养中,不定根通常从愈伤组织中发生。

在林业和园艺上,对柳树、杨树、葡萄、月季和秋海棠等植物的枝条扦插、叶插或压条等无性繁殖中,均能产生大量不定根。但也有些植物在同样条件下不易形成不定根,如用赤霉素等植物激素处理后,仍可诱导出不定根来。在植物细胞,组织或器官的离体培养中,应用吲哚乙酸、萘乙酸和2,4-D等植物生长调节物可诱导不定根的发生,以获得完整的再生植株。

次生结构

有些植物(如单子叶植物)初生结构形成以后不再生长,而裸子植物和大多数双子叶植物,在初生结构形成以后,由于形成层和木栓形成层的活动,产生次生结构,使根加粗,也称为次生生长。

在有次生生长的根中,初生韧皮部的内侧最初进行平周分裂,形成短的形成层弧段;接着在初生木质部脊外面的中柱鞘细胞也进行平周分裂,由中柱鞘的内层细胞分化为形成层,并与韧皮部内侧的形成层弧段相连,在横切面上,形成凹凸不平的多角形。由于韧皮部内侧的形成层活动最早,向内产生的大量次生木质部,使形成层向外推移,最后在根的横切面上,形成层变成圆环状的一圈。由形成层细胞的平周分裂,向外产生次生韧皮部,向内产生次生木质部,使根的直径不断增粗(图4)。

图

在根的次生维管组织中,富含薄壁组织细胞,它们与根部具储藏大量营养物质的功能有关。这也是根与茎在次生结构上明显差别之处。

随着根内形成层的活动,使外面的初生韧皮部及皮层等组织不断受到张力和压力的影响,相继被挤毁或脱落。这时由中柱鞘的外层细胞经平周分裂转变为木栓形成层。木栓形成层向外分裂形成木栓层,向内产生栓内层,这就构成了次生保护组织──周皮。由于根部直径的不断增粗,最初形成的周皮已不能适应而遭破裂,再由里面的次生韧皮部薄壁组织细胞分化出新的木栓形成层。有些植物最初分化的木栓形成层,也可来自表皮下面或皮层最外层的细胞。

变态

有些植物的根,在形态、结构和生理功能上,都出现了很大的变化,这种变化称为变态。变态是长期适应环境的结果,这种特性形成后,相继遗传,成为稳定的遗传性状。常见的变态根有:

肉质根

如萝卜、胡萝卜、甜菜的变态根。它们是由主根以及胚轴的上端等部分膨大形成,在肥大的主根中,薄壁组织细胞内贮存大量养料,可供植物越冬后和次年生长之用。这部分也是食用的部分。这些肉质根虽然外表相似,但内部结构是不同的。在萝卜的肉质根中,大部分为次生木质部,其中具发达的木薄壁组织,储藏着大量的营养物质。胡萝卜肉质根的大部分,属于次生韧皮部,丰富的营养物质储藏在发达的韧皮薄壁组织中。甜菜根除了具正常的次生结构以外,在维管组织的中心外面,由同心圆状排列的形成层产生,它们是从中柱鞘和韧皮部衍生的,形成层能产生出几层维管组织细胞,以及在木质部束和韧皮部束之间,还有大量径向排列的薄壁组织,其发达程度,与甜菜的含糖量有着密切的关系。

块根

植物侧根或不定根膨大而成。这种变态根不象萝卜等,每株只形成一个肉质根,而是一株可以形成许多膨大的块根。常见的如甘薯的块根。它是由茎节间上的不定根所形成,这些不定根先是正常的次生生长,其中次生木质部由大量的木薄壁组织和分散排列的导管所组成,然后在导管周围的一些薄壁组织细胞,恢复分生能力,发育为形成层。形成层活动产生导管、筛管、乳汁管和大量的薄壁组织细胞。

气生根

是生长在空气中的一种变态根,如榕树的枝干上长出许多不定根,可以一直垂入到土壤。此种气生根没有根毛和根冠,不能吸收养分,但能吸收空气中的水分,也有呼吸的功能。由于气生根扎入土内,起了支持作用,使榕树树冠得以发展,故有“独木成林”之感。热带森林中的许多兰科植物也有发达的气生根,它们附生在树的枝干上,靠气生根吸收空气中的水分。气生根因作用不同,又可分为呼吸根、支柱根、攀缘根和吸器。

一些生活在沼泽、海滩的植物,其地下部分生活在缺氧环境中,如落羽杉和海桑树等,在树的主干附近,从土壤或水中伸出许多根来,这些根的结构特殊,内部有许多气道,这种根主要是行呼吸和通气作用,故有呼吸根或通气根之称。

支柱根

最典型的例子是玉米,从茎基部的几个节上长出许多不定根,并向下伸入土中,不仅能吸收水分和无机盐,而且此种根的机械组织发达,能起到稳固茎干的支持作用。

常春藤和凌霄花等植物的细长茎上,生有无数不定根,以其将自身固定在墙壁或其他植物茎干上,这类变态根叫做攀缘根。

营寄生生活的被子植物,如菟丝子,它的茎缠绕在寄主的茎上,并生出许多吸器,吸器伸入寄主茎的内部组织,它们的维管组织与寄主的维管组织相连接,以此可吸收寄主的水分和养料。

菌根和根瘤

许多植物的根系与土壤中的微生物建立了共生关系,在植物体上形成菌根或根瘤。某些种子植物的根与土壤真菌共生所形成的共生体,称为菌根。根据真菌对寄主皮层细胞侵染的情况,又分为两种类型:

(1)外生菌根,真菌形成一鞘层,即菌丝罩,整个包裹着幼根的外部,只有少数菌丝侵入到根皮层的胞间隙中,如松树、栎树等。

(2)内生菌根,真菌形成不明显的罩子,而大部分菌丝均侵入到根部皮层的细胞内部,如兰属、草莓等。菌根真菌的菌丝如同根毛一样,起吸收水分与矿质营养的作用。还能将土壤中的矿质盐和有机物质,转变为易于寄主吸收的营养物质,以及可制造维生素等,供给根系。而寄主植物分泌的糖类、氨基酸及其他有机物质又可供真菌生活,因此两者为共生关系。

豆科植物与根瘤细菌的共生体,即为根瘤。根瘤的维管束与根的维管柱连接,两者可互通营养,一方面豆科植物将水分及营养物质供给根瘤细菌的生长;另一方面根瘤细菌也将固定合成的铵态氮,通过输导组织运送给寄主植物。此外,在植物界中还有一些非豆科植物,如早熟禾属、看麦娘属和胡颓子属等十几个属一百多种植物也能结瘤固氮。

生理功能

根不仅是一个吸收水分与矿质盐的主要器官,而且也是一个转化和合成营养的地方,代谢活动异常活跃。(见彩图)

鸢尾根的成熟凯氏带 萝卜根尖纵切 文殊兰根的初生凯氏带 毛茛成熟根横切

根对水分的吸收

根系从土壤中吸收水分的最活跃部位,是根端的根毛区(即成熟区)。通常仅由根系的活动而引起的吸水现象,称为主动吸水,而把由地上部分的蒸腾作用所产生的吸水过程,称被动吸水。当植物在蒸腾作用微弱的情况下,主动吸水才是植物吸水的主要原因。土壤水分经根毛和表皮向内扩散的时候,首先从皮层的细胞壁或胞间隙等质外体途径,即“自由空间”通过,到了内皮层,因其细胞的径向壁与横向壁上具栓质的凯氏带,水分不能通过,这时水分只能经由内皮层细胞中的质膜和液泡,即共质体的途径。水分经内皮层细胞进了维管柱以后,则又属质外体的途径,直至木质部的导管。

根对矿质营养的吸收

根系从土壤中吸收矿物质是一个主动的生理过程,它与水分的吸收之间,各自保持着相对的独立性。根部吸收矿质元素最活跃的区域是根冠与顶端分生组织,以及根毛发生区。土壤中的各种离子先吸附在根表面,然后经能量转换与酶的作用,通过细胞质膜进入细胞中,再由细胞间的离子交换、进入维管柱的木质部导管。

根对地上部分生长发育的影响

根系不仅将植物的地上部分牢固地固着在土壤中,从土壤吸收大量水分和矿质营养,供给地上部分生长发育的需要,而且根部还能进行一系列有机化合物的合成转化。其中包括有组成蛋白质的氨基酸,如谷氨酸、天门冬氨酸和脯氨酸等;各类植物激素,如吲哚乙酸、细胞分裂素类,以及少量的乙烯等。根还能从土壤中吸收二氧化碳并固定,借助于特种酶和丙酮酸的作用,转变为苹果酸,然后转运到地上部分,参加叶子的光合作用。

根在其生命活动中,不断向周围环境分泌出许多物质,如氨基酸、磷脂、维生素、有机酸、碳水化合物、单宁、植物碱,以及过氧化物酶、磷酸酯酶、转化酶、淀粉酶、纤维素酶、蛋白酶与脂肪酶等多种胞外酶。此外,根还能分泌二氧化碳、磷、钙、钾、硫等无机物。这些根的分泌物不仅对植物本身具有重要的生理作用,而且对根周围的微生物也有明显的影响。

经济用途

在人类生活中,许多植物的根部已被广泛利用,如甘薯、豆薯、葛藤、木薯等肥大的块根,内含丰富的淀粉,可供人们食用或工业用。萝卜和胡萝卜的根部,是人们常食的蔬菜。甜菜的块根是制糖工业的原料。人参、乌头、甘草、地黄和麦冬等根部是著名的中药材。雷公藤、百部和鱼藤等根部富含生物碱或鱼藤酮,对植物病虫有毒效,可作为防治作物病虫害良好的植物性农药。茜草的根能提取鲜红色的染料,可用于染动植物性纤维及食用色素。

参考文章