[Æ´Òô]£ºshenjingxitong yingxiangxue jiancha
[ÍâÎÄ]£ºimaging of nervous system
ÓóÉÏñÊÖ¶ÎʹÂÄÔ¡¢×µ¹ÜºÍ¼¹ËèµÈ½âÆÊ½á¹¹¼°²¡±äÏÔÓ°£¬½èÒÔÕï¶Ï¼²²¡µÄ¼ì²é·½·¨¡£ÔÚÉñ¾ÏµÍ³¼ì²éÖÐÕ¼×ÅÖØÒªµØÎ»£¬Òѵõ½¹ã·ºÓ¦Ó᣶ÔÈ·¶¨ÂÄÚ¼°×µ¹ÜÄÚµÄÖ×Áö¡¢Ñª¹Ü¼²²¡¡¢Ñ×Ö¢¡¢¼ÄÉú³æ²¡ºÍÏÈÌì»ûÐεȵÄλÖ㨶¨Î»Õï¶Ï£©£»´óС¡¢·¶Î§¼°ÊýÄ¿£¨¶¨Á¿Õï¶Ï£©ºÍ²¡ÀíÐÔÖÊ£¨¶¨ÐÔÕï¶Ï£©£¬ÓнϸߵļÛÖµ¡£¼ì²é·½·¨·Ö·ÇËðÉËÐÔ¼ì²é£¬ °üÀ¨Í·ÂÓ뼹׵ƽƬ¡¢µç×Ó¼ÆËã»úXÉäÏ߶ϲã³ÉÏñ(CT)¼° ´Å¹²Õñ³ÉÏñ(MRI)£»ËðÉËÐÔ¼ì²é°üÀ¨ÄÔѪ¹ÜÔìÓ°¡¢¼¹Ë趯ÂöÔìÓ°ºÍ¼¹ËèÔìÓ°µÈ¡£ÆøÄÔ¡¢ÄÔÊÒºÍÄÔ³ØÔìÓ°£¬ÂÄÚ¾²Âöñ¼ÔìÓ°ºÍ×µ¾²ÂöÔìÓ°×ÔʹÓÃCTÓë MRIºó£¬ÒѺÜÉÙ²ÉÓá£
·ÅÉä¼ì²é·½·¨·±¶à£¬Ó¦¸ù¾Ý³õ²½Õï¶Ï£¬½áºÏÕï¶ÏÐèÒªºÍ¸÷ÖÖ·½·¨µÄ¼ÛÖµ¼°ÏÞ¶ÈÑ¡ÔñÓ¦Óá£Ó¦ÏÈÑ¡Ôñ¼òµ¥¡¢¾¼ÃºÍ·ÇËðÉËÐԵļì²é¡£ÓÐʱÐèÓü¸ÖÖ·½·¨Ï໥ÅäºÏ£¬²ÅÄÜÈ·Õï¡£
·ÇËðÉËÐÔ¼ì²é
ʹÓýϰ²È«£¬°üÀ¨Í·ÂƽƬ¡¢¼¹×µÆ½Æ¬¡¢CT¡¢MRI¡¢·ÅÉäÐÔºËËØ¼ì²é¡£
Í·ÂÆ½Æ¬ÄÜÏÔʾ¹ǵľÖÏÞÐÔ»òÃÖÂþÐԹǸı䣬ͷ´óС¼°ÐÎ×´¸Ä±äºÍÂÄÚ²¡ÀíÐԸưߣ¬ÓÃÒÔ¼ì²éÂÄÚ¼²²¡¡¢Â¹Ç¼²²¡ºÍijЩȫÉíÐÔ¼²²¡¡£Ò»Ð©¼²²¡Æ½Æ¬±íÏÖÓÐÌØÕ÷£¬¿É½èÒÔÈ·Õ¶ÔÁíһЩ¼²²¡Æ½Æ¬¿ÉÌáʾÕï¶Ï¡£Í·ÂƽƬӦÕÕºóǰλºÍ²àλ¡£
£¨1£©ÂÄÚ²¡±äÍ·ÂÆ½Æ¬¿É±íÏÖÕý³£»òÖ»ÌáʾÓÐÂÄÚ¼²²¡£¬¹Ê¶ÔÂÄÚ²¡±äÕâÖÖ¼ì²é·½·¨ÓÐÆäÏÞ¶È¡£
ÂÄÚÖ×Áö£¬¸ù¾Ý¹ǾÖÏÞÐԹǸıäºÍÂÄÚ²¡ÀíÐԸư߿É×÷³öÖ×ÁöµÄ¶¨Î»Õï¶Ï£¬½ü30£¥µÄÖ×Áö¿É×÷³ö¶¨ÐÔÕï¶Ï¡£ÄÔĤÁöµÄµäÐͱíÏÖÊÇÄÔĤÁöºÃ·¢²¿Î»µÄ¾ÖÏÞÐÔ¹ÇÆÆ»µ»òÔöÉú¡¢Ö×ÁöÄڸƻ¯ºÍÄÔĤ¶¯Âöѹ¼£ÓØÇúÀ©ÕÅ£»´¹ÌåÖ×Áö¿ÉÒýÆð´¹Ìå°¼ÆøÇò×´Ôö´ó£¬Ë«°°µ×ÓëË«°°±³»òºó´²Í»ÓÎÀë¡¢¹ÂÁ¢£»ÂÑʹÜÁö³£¼û°°ÉÏÇø¸Æ°ß£»ÌýÉñ¾Áö¶à³öÏÖÄÚ¶úµÀµÄÔö´ó¼°ÆÆ»µ¡£ÕâЩ±ä»¯¶¼ÓÐÒ»¶¨µÄÕï¶Ï¼ÛÖµ¡£³£¼ûµÄÄÔ½ºÖÊÁöËä¿É·¢Éú¸Æ»¯²¢ÓÐÒ»¶¨Ìص㣬µ«³öÏÖÂʲ»¸ß£¬Õï¶Ï¼ÛÖµÓÐÏÞ¡£
ÂÄÚÑ×Ö¢¡¢¼ÄÉú³æ²¡ºÍÄÔѪ¹Ü²¡Å¼¿É·¢Éú¸Æ»¯£¬µ«È±ÉÙÌØÕ÷£¬¶àÄÑÓÚ½è´ËÃ÷È·Õï¶Ï¡£
£¨2£©Â¹Ç²¡±ä¡£Í·ÂƽƬ¿ÉÏÔʾ²¡±ä²¢×÷³ö»òÌáʾÕï¶Ï¡£ÔÚÍ·²¿ÍâÉË£¬Í·ÂƽƬ¿ÉÕï¶Ï¹ÇÕÛ²¢È·¶¨ÆäλÖü°ÀàÐÍ£¬µ«²»ÄÜÏÔʾÂÄÚѪÖ׺ÍÄÔµÄËðÉË¡£
ʯ¹ÇÖ¢¡¢ÉöÐÔ¹ÇÓ²»¯£¬»ûÐÎÐÔ¹ÇÑ׺ÍÖ«¶Ë·Ê´óÖ¢¾ù¿ÉÒýÆð¹ÇÃÖÂþÐÔÔöºñºÍÃܶÈÔö¸ß£¬µ«¶¼Óи÷×ÔµÄÌØµã£¬½áºÏÁÙ´²¶à¿ÉÈ·Õï¡£Ó¤¶ùÄÔ»ýË®£¬Â¹ÇÏÝÎѺͳɹDz»È«£¬Â¹ÇÓÐÆÕ±éÐԱ䱡ºÍÃܶȼõµÍ£¬³£²»ÄÑÕï¶Ï¡£Ó¤¶ùÄÔ»ýˮʱ£¬Í·ÂÔö´ó¡£ÄÔ·¢ÓýÕϰʱ£¬Í·ÂС£¬Â·ìËä·âºÏ£¬µ«ÎÞÂÄÚѹÔö¸ß±íÏÖ¡£ÏÁÂ֢ʱÒò·ìÌáÔç·âºÏ¶øÒýÆð¼âÍ·¡¢Ð¡Í·¡¢ÖÛ×´Í·ºÍƫͷ±äÐΡ£Ç°¶þÕß»¹¿ÉÓÐÂÄÚѹÔö¸ß±íÏÖ¡£Èí¹Ç·¢Óý²»È«¡¢Â¹ÇËø¹Ç·¢Óý²»È«µÈʱͷÂÒ²¶àÓбäÐΣ¬Õï¶ÏÐè½áºÏ¹Ç÷ÀµÄÆäËû±ä»¯¡£
¼¹×µÆ½Æ¬¼¹Ä¤Áö¡¢¼¹Éñ¾ÏËάÁöºÍ¼¹ËèÖ×Áö¿ÉʹÖ×ÁöËùÔÚ¼¹¶Î×µ¹ÜÔö´ó£¬Éñ¾ÏËάÁö»¹¿ÉʹÏàÓ¦µÄ×µ¼ä¿×Ôö´ó£¬Äܽè´Ë´óÖÂÈ·¶¨Ö×ÁöλÖá£Ð¡Ö×Áö¡¢¼¹ËèѪ¹Ü»ûÐκÍÖëÍøÄ¤Õ³Á¬£¬¼¹×µÆ½Æ¬¶à±íÏÖÕý³£¡£×µ¹ÜÏÁÕºÍ×µ¼äÅÌÍѳöµÈ£¬Æ½Æ¬¿ÉÓиı䣬µ«Õï¶ÏÒª¿¿CT»òMRI¡£¼¹×µÆ½Æ¬Ó¦ÕÕǰºóλºÍ²àλ¡£
µç×Ó¼ÆËã»úXÉäÏ߶ϲã³ÉÏñÀûÓÃÈËÌå×éÖ¯¼äÃܶȲÓÉ XÉäÏßɨÃ裬¼ÆËã»ú¼ÆËã¶ø»ñµÃÖØ½¨µÄ¶Ï²ãͼÏñ¡£¶Ô±È·Ö±æÂʸߣ¬¿ÉÏÔʾXÉäÏßÕÕÆ¬ÎÞ·¨ÏÔʾµÄÂÄÚºÍ×µ¹ÜÄڽṹ¼°Æä²¡±ä£¬½âÆÊ¹ØÏµÃ÷È·£¬²¡±äÏÔʾÇå³þ£¬ÏÔÖøÌá¸ßÉñ¾·ÅÉäÕï¶ÏµÄ׼ȷÐÔ¡£ÎÞËðÉË£¬ÎÞÍ´¿à£¬°²È«£¬ËùÒԵõ½ÆÕ±éÓ¦Óᣵ«É豸°º¹ó£¬¼ì²é·ÑÓøߡ£
ÂÄÔ¼°¼¹ËèCT¶àÓúá¶Ï²ãÃæÉ¨Ãè¡£ÏÈÆ½É¨£¬ÒÀÐèÒªÔÙÐÐÔìÓ°ÔöǿɨÃè¡£ÄÔ³ØÔìÓ°CTÊÇÄÔ³ØÔìÓ°ºóÐÐCTɨÃ裬ÓÃÓÚ¼ì²éÇÅСÄÔ½ÇСÖ×Áö¡¢Õ³Á¬¼°Ò쳣Ѫ¹ÜñáºÍ¿Õµû°°¡¢°°ÉÏÇøÖ×Áö»òÄÒÖס£¼¹ËèÔìÓ°CTÊǼ¹ËèÔìÓ°ºóÐÐCTɨÃ裬ÓÃÒÔ¼ì²é×µ¹ÜÄÚÖ×Áö¡¢¼¹ËèÏÈÌì»ûÐκÍ×µ¼äÅÌÍ»³öµÈ¡£ÔìÓ°¼ÁÐëÓ÷ÇÀë×ÓÐ͵ģ¬ÈçµâÇúÂ×»òµâ±½Áù´¼£¬²»ÄÜÓ÷ºÓ°ÆÏ°·¡£
¸ß·Ö±æÂÊCT¿ÉÏÔʾֱ¾¶´óʾ 1cmµÄ²¡±ä¡£ËùÒÔ²»ÄÑÈ·¶¨²¡±äµÄÓÐÎÞ¼°×÷¶¨Î»Õï¶ÏºÍ¶¨Á¿Õï¶Ï£¬¶ø¶¨ÐÔÕï¶ÏÔòÒÀ¼²²¡µÄ²»Í¬¶øÒì¡£CT¶ÔÄÔÁö¡¢ÄÔÍâÉË¡¢ÄÔ³öѪ¡¢ÄÔ¹£Èû¡¢Ñ×Ö¢¡¢¼ÄÉú³æ²¡ºÍÂÄÔÏÈÌì»ûÐεÈÕï¶ÏЧ¹ûºÃ£¬¶ÔÄÔ¶¯ÂöÁöºÍ¶¯¾²Âö»ûÐεÄÕï¶ÏÔòÓÐÒ»¶¨ÏÞ¶È¡£¶Ô×µ¹ÜÄÚÖ×Áö¡¢×µ¼äÅÌÍѳö¡¢×µ¹ÜÏÁÕ¡¢¼¹ËèÍâÉË¡¢¼¹Öù¼°¼¹ËèÏÈÌì»ûÐκͼ¹Ëè¿Õ¶´Ö¢Õï¶Ï¼ÛÖµÒ²½Ï´ó¡£
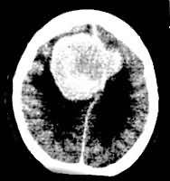
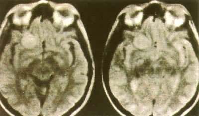
ÄÔÁö£¬70¡«80£¥¿ÉÓÉCT×÷³ö¶¨ÐÔÕï¶Ï¡£¼¸ÖÖ³£¼ûÄÔÁöµÄµäÐÍCT±íÏÖÈçÏÂ:ÐÇÐÎϸ°ûÁöΪÄÔÄÚµÍÃܶÈÖ׿飬¢ñ¡¢¢ò¼¶Õ߽߱çÇå³þ£¬ÎÞÇ¿»¯£¬¢ó¡¢¢ô¼¶Õߣ¬ÂÖÀª²»Õû£¬Óв»¾ùÔÈ»ò»·×´Ç¿»¯£¨Í¼1£©£»ÄÔĤÁö³Ê±ß½çÇå³þ¡¢ÃܶȾùÔȵĸßÃܶÈÖ׿飬ÒÔ¹ã»ùÓë¹ǻòӲĤÏàÁ¬£¬ÓоùÔÈÇ¿»¯£¨Í¼2£©£»´¹ÌåÖ×ÁöΪ°°ÉÏÃܶÈÂԸߵÄÖ׿飬ÓоùÔÈÇ¿»¯£»ÂÑʹÜÁöΪ°°ÉÏ»ìÔÓÃܶȲ¡±ä£¬Óв»¾ùÔÈÇ¿»¯;ÌýÉñ¾ÁöΪÇÅÄÔСÄԽǵͻòµÈÃܶÈÖ׿飬ÓëÔö´óµÄÄÚ¶úµÀÏàÁ¬£¬ÓоùÔÈÇ¿»¯¡£Ð¡ÌýÉñ¾ÁöÓÚÄÔ³ØÔìÓ°CTÉϿɼûСµÄÓëÄÚ¶úµÀÏàÁ¬µÄÖ×¿é£»×ªÒÆÁö³£³ÊƤÖʼ°Æ¤ÖÊÏÂÇø¶à·¢½á½ÚÐÔ²¡±ä£¬ÓÐÃ÷ÏÔµÄÄÔË®Ö×Î§ÈÆ£¬³Ê¾ùÔÈ»ò²»¹æÔò»·×´Ç¿»¯¡£
¼±ÐÔÍâÉËÐÔӲĤÍ⼰ӲĤÏÂѪÖ×£¬CT±íÏÖΪÄÔÍâ¸ßÃܶȲ¡±ä£¬½ô¾Ó¹ÇÄÚ°åÏ·½¡£Ç°Õß¾ÖÏÞ£¬³ÊËóÐΣ»ºóÕß·¶Î§¹ã£¬³ÊÐÂÔÂÐΡ£ÄÔÄÚѪÖ×ÍâÐβ»Õû£¬¶à±ídz£¬ÔÚ×ÅÁ¦´¦»ò¶Ô³å²¿Î»¡£CTÈ·¶¨»òÅųýѪÖ×¶¼Ê®·Ö¿É¿¿¡£ÄÔ´ìÁÑÉËCT±íÏÖΪ´óƬµÍÃܶÈÇøÖÐÓж෢СµÄ£¬´ú±í³öѪµÄ¸ßÃܶÈÇø¡£
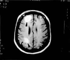
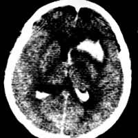
ÄÔ³öѪ£¬ CT±íÏÖΪÄÔÄÚ¸ßÃܶȲ¡±ä£¨Í¼3£©£¬ºÃ·¢ÓÚµ×½Ú¡¢ÇðÄÔÇø£»ÄÔ¹£ÈûÔòΪÀÛ¼°Æ¤Öʼ°ËèÖʵÄШÐεÍÃܶÈÇø¡£CTÒ×ÓÚÕï¶Ï¡£CT»¹¿ÉËæÕï¹Û²ìÄÔ³öѪºÍÄÔ¹£ÈûµÄ²¡ÀíÑݱä¹ý³Ì¡£
ÄÔŧÖ×£¬CT±íÏÖΪÄÔÄÚÀàÔ²ÐεÍÃܶȲ¡±ä£¬ÔìÓ°ÔöǿɨÃè¿É¼û´ú±íŧÖױڵĺñ¶È¾ùÔȵĻ·×´Ç¿»¯¡£CTÓÐÖúÓÚ°ïÖúÑ¡ÔñÊÖÊõʱ»ú¡£
͸Ã÷¸ôȱÈç¡¢ëÝëÕÌåȱÈç¡¢ÄÔ´©Í¨»ûÐκÍÄÔ»ÒÖÊÒìλ֢µÈCTÏÔʾÇå³þ£¬²»ÄÑÕï¶Ï¡£
CT¡¢ÌرðÊǼ¹ËèÔìÓ°CT¿ÉÏÔʾ׵¹ÜÄÚÖ×Áö¼°ÆäÓëӲĤÄÒ¼°¼¹ËèµÄ¹ØÏµ£¬µ«¶¨ÐÔÕï¶Ï½ÏÄÑ¡£¼¹ËèÄÚ½ºÖÊÁö¡¢ÊÒ¹ÜĤÁö¡¢Ñª¹Üĸϸ°ûÁöºÍÖ¬·¾ÁöΪ¼¹ËèÄÚµÍÃܶȲ¡±ä£¬¼¹Ëè¾Ö²¿Ôö´Ö¡£¼¹ËèÍâÉñ¾ÏËάÁöºÍ¼¹Ä¤Áö³ÊÂÔ¸ßÃܶÈÖ׿飬ÓоùÔÈÇ¿»¯£¬¼¹ËèÓëӲĤÄÒÊÜÑ¹ÒÆÎ»¡£Ç°Õß»¹¿É¼ûÏàÓ¦µÄ×µ¼ä¿×Ôö´ó£¬ºóÕßÓÚÖ×ÁöÄڿɼû¸Æ»¯ºÍÁÚ½ü¹ÇÔöÉú¡£Ó²Ä¤ÍâÖ×Áö¶àΪ¶ñÐÔ£¬Ö׿éÃܶȲ»¾ù£¬Ó²Ä¤ÍâÖ¬·¾¼°Ó²Ä¤ÄÒÊÜѹ¡£³£ÓÐÁÚ½üµÄ¹ÇÆÆ»µºÍÈí×éÖ¯Ö׿顣
×µ¼äÅÌÍ»³ö£¬CTƬÉϿɼûÏò×µ¹ÜÄÚÍ»³öµÄ×µ¼äÅÌ×éÖ¯ºÍӲĤÍâÖ¬·¾¼°Ó²Ä¤ÄÒÊÜѹ¡£ÓÐʱ¿É¼û×µ¼äÅ̸ƻ¯ºÍ×µÌå±ßÔµµÄ¹Ç׸¡£CT¿ÉÕï¶Ï×µ¹ÜÏÁÕ¼°Æä²¡Òò¡£×µ¹Üǰºó¾¶1¡«1.5cmΪ¿ÉÒÉ×µ¹ÜÏÁÕ£¬Ð¡ÓÚ1.0cmÔò¿ÉÈ·Õï×µ¹ÜÏÁÕ¡£ÍËÐÐÐÔ±äÒýÆðµÄ×µ¹ÜÏÁÕ£¬CT¿ÉÏÔʾ׵¼äÅÌÍѳö¡¢Ð¡¹Ø½Ú·Ê´óºÍ»ÆÈÍ´ø·ÊºñµÈ¡£
¼¹Ëè¿Õ¶´Ö¢£¬CT¿É¼û²¡±ä¶Î¼¹ËèÔö´Ö¡¢±äϸ»òÕý³££¬ÆäÖÐÓеÍÃܶȿÕÇ»¡£¼¹ËèÔìÓ°CT¿É¼ûÔìÓ°¼Á½øÈë¿ÕÇ»ÖС£
´Å¹²Õñ³ÉÏñÀûÓÃÈËÌåÕý³£×é֯ͬ²¡±ä×éÖ¯¼ä´Å¹²ÕñÐźÅÇ¿¶ÈµÄ²î±ð£¬ÓÉɨÃèºÍ¼ÆËã»ú¼ÆËã¶ø»ñµÃÖØ½¨µÄ¶Ï²ãͼÏñ¡£ÓÉÓڿɵõ½ºá¶ÏÃæ£¬¹Ú×´¶ÏÃæºÍʸ״¶ÏÃæÍ¼Ïñ£¬½âÆÊ½á¹¹±ÆÕ棬²¡±äÏÔʾÇå³þ£¬ËùÒÔ¶Ô²¡±äµÄ¶¨Î»Ó붨Á¿Õï¶ÏÏ൱׼ȷ¡£CTÖ»ÒÔÃܶÈ×÷Ϊ³ÉÏñ²ÎÊý£¬¶øMRIÔò¿É¸ù¾ÝÁ½¸ö³Úԥʱ¼ä£¨¼´T1ÓëT2£©ºÍÖÊ×ÓÃÜ¶È (P)Èý¸ö³ÉÏñ²ÎÊý£¬·Ö±ð»ñµÃÈý¸ö²»Í¬ÌØÐÔµÄͼÏñ£¬¼´T1¼ÓȨÏñ£¨¼ò³ÆT1Ïñ£©¡¢T2¼ÓȨÏñ£¨¼ò³ÆT2Ïñ£©ºÍÖÊ×ÓÃܶÈÏñ¡£²»Í¬×éÖ¯µÄ³Úԥʱ¼ä²»Í¬¡£ÔÚT1ÏñÉÏ£¬³Úԥʱ¼ä³¤µÄ×éÖ¯³ÊµÍÐźţ¨°µÓ°£©£¬¿É¼ò³Æ³¤T1£¬¶ø³Úԥʱ¼ä¶ÌµÄ×éÖ¯³Ê¸ßÐźţ¨ÁÁÓ°£©£¬¼ò³Æ¶ÌT1£»ÔÚT2ÏñÉÏ£¬³Úԥʱ¼ä³¤µÄ×éÖ¯³Ê¸ßÐźţ¨ÁÁÓ°£©£¬¼ò³Æ³¤T2£¬¶ø³Úԥʱ¼ä¶ÌµÄ×éÖ¯³ÊµÍÐźţ¨°µÓ°£©£¬¼ò³Æ¶ÌT2¡£´ó¶àÊýÖ×ÁöºÍÑ×Ö¢µÄT1ÓëT2¶¼±ÈÕý³£×éÖ¯³¤£¬¶ø²»Í¬²¡±äÖ®¼äÒ²Óвî±ð¡£T1ÏñÏÔʾ½âÆÊ½á¹¹Çå³þ£¬T2ÏñÏÔʾ²¡±äÃô¸Ð¡£²¡±äÔÚT1ÏñÓëT2ÏñÉÏÐźÅÇ¿¶ÈµÄÑݱäÇé¿ö¿ÉΪ¶¨ÐÔÕï¶ÏÌṩÓÐÒ»¶¨ÒâÒåµÄ²Î¿¼ÒÀ¾Ý¡£Ñª¹ÜÄÚµÄѪҺÊܵ½É䯵Âö³å¼¤·¢Ò²²úÉú´Å¹²ÕñÐźţ¬µ«ÒòѪҺÊÇÁ÷¶¯µÄ£¬²»¹Ì¶¨ÓÚÒ»´¦£¬ËùÒÔ²»ÄÜÊÕµ½Ëü²úÉúµÄÐźţ¬´Ë¼´Á÷¿ÕЧӦ¡£MRI¼ì²éʱѪ¹Ü³ÊµÍÐźţ¨°µÓ°£©¡£ÕâÑù¿ÉÒÔ²»×¢ÈëÔìÓ°¼Á¶øÊ¹Õý³£»òÒ쳣Ѫ¹Ü³ÉÏñ¡£MRIµÄÉÏÊöÌØµã£¬ÔÚÂÄÔ¡¢×µ¹Ü¼°¼¹ËèµÄ¼ì²éÖбíÏÖÍ»³ö£¬Òò´Ë£¬Éñ¾ÏµÍ³MRIÕï¶ÏµÄÑо¿ÓëÓ¦ÓÃÔÚÈËÌå¸÷ϵͳMRIÕï¶ÏÖÐÒ»Ö±´¦ÓÚÁìÏȵØÎ»¡£µ«MRIÔÚ²»×÷ÔìÓ°ÔöǿɨÃèʱ£¬¶Ô²¡±ä±Ú¡¢½á½Ú¡¢»µËÀ¡¢ÄÒÇ»½á¹¹£¬ÒÔ¼°¹ÇºÍ¸Æ°ßµÄÏÔʾÔò²»¼°CT¡£¼ì²éʱ¼ä³¤£¬É豸°º¹ó£¬¼ì²é·ÑÓøßÊÇÆä²»×ã¡£
MRI¶ÔÄÔÁö¡¢ÄÔ¶¯ÂöÁöºÍ¶¯¾²Âö»ûÐΡ¢ÄÔ³öѪ¡¢ÄÔ¹£Èû¡¢Ñ×Ö¢¡¢¼ÄÉú³æ²¡¡¢ÂÄÔÏÈÌì»ûÐΡ¢ÍÑËèÇʼ²²¡¡¢ÄÔήËõÓëÄÔ»ýË®£¬¶Ô×µ¹ÜÄÚÖ×Áö¡¢×µ¼äÅÌÍѳö¡¢×µ¹ÜÏÁÕ¡¢¼¹ËèÍâÉË¡¢¼¹×µÓë¼¹ËèÏÈÌì»ûÐΡ¢¼¹Ëè¿Õ¶´Ö¢ºÍ¼¹ËèѪ¹Ü»ûÐÎÓкܸߵÄÕï¶Ï¼ÛÖµ¡£µ«¶ÔÈ·¶¨²¡±äµÄÐÔÖÊÒ²»áÓöµ½À§ÄÑ¡£
ÔÚɨÃè¼¼ÊõÉϳ£ÓÃ×ÔÐý¡ª»Ø²¨Âö³åÐòÀý£¬²¢ÓÃÁ½´ÎÐźÅÔì¼Ó¡£Ò»°ã¶àÓÃT1ÏñºÍT2Ïñ¡£ÔìÓ°ÔöǿɨÃèÖ»ÔÚ±ØÒªÊ±Ñ¡Óá£ÔìÓ°¼ÁÓÃGd DTPA¡£ÎªÁËËõ¶ÌɨÃèʱ¼ä£¬Òѹ㷺ʹÓÿìËÙ³ÉÏñ¼¼Êõ¡£
¸ù¾ÝÆäλÖã¬ÐÎ̬¼°ÐźÅÌØÕ÷£¬MRI¶ÔÄÔÁö¶¨ÐÔÕï¶ÏÓÐÒ»¶¨µÄ¿ÉÐÅÐÔ£¬µ«Ò²ÓÐÏÞ¶È¡£²»Í¬ÀàÐÍÄÔÁöÔÚCTÉÏÏÔʾµÄÐÎÌ¬ÌØµã£¬ÔÚMRIÉÏÏÔʾ¸üΪÇå³þ£¬¿ÉÒÔ½è¼ø¡£¶àÊýÄÔ½ºÖÊÁöµÄÐźÅΪ³¤T1Ó볤T2¡£ÄÔË®Ö×Ò²±íÏÖΪ³¤T1Ó볤T2¡£ÒòÖ®£¬²»Í¬ÀàÐͽºÖÊÁöÖ®¼ä£¬½ºÖÊÁöÓëÖ×ÁöÖÜΧˮÖ×¼äµÄ¼ø±ð¾ÍÐèÒÀÖ×Áö½á¹¹ÓëÐźÅÔÚT1¡¢T2ÏñÉϵÄÑݱäÌØµã¼ÓÒÔ¼ø±ð£¬È·Õï²¢·Ç¾³£¿ÉÄÜÓë¿É¿¿¡£ÄÔĤÁöÔÚT1¼°T2ÏñÉϱíÏÖΪƤÖÊÐźš£´¹ÌåÖ×Áö±íÏÖΪƤÖÊÐźţ¬ÄÚÓÐÄÒ±äºÍ³öѪ£¬ÊÓ½»²æÒÆÎ»¡£Î¢ÏÙÁöʹ´¹ÌåÐźŲ»¾ù£¬¿É¼ûµÍÐźÅÄÒ±äÇø£¬´¹ÌåµÙ¼°´¹ÌåºóÒ¶ÒÆÎ»£¬´¹ÌåÉÏÔµ±¥Âú¡£ÂÑʹÜÁöµÄÐźŸ´ÔÓ£¬¸Æ»¯µÄÏÔʾ²»ÈçCT£»ÌýÉñ¾Áö¶àΪ³¤T1¡¢³¤T2Ðźš£
ÄÔ¶¯ÂöÁö£¬ÁöÇ»³öÏÖÁ÷¿ÕÕ÷Ï󣬱íÏÖΪµÍÐźţ¬±ÚѪ˨Ϊ¶ÌT1¡¢³¤T2Ðźţ¬Áö±Ú³ÊµÍÐźŻ·£¨Í¼4£©¡£ÄÔѪ¹Ü»ûÐαíÏÖΪëÏßÍÅ×´»ò·ä·¿×´µÍÐźŲ¡Ô¿É¼ûѪÖס£

ÄÔ³öѪһÖÜÒÔÄÚT1ÏñΪµÈ»òÂÔµÍÐźţ¬T2ÏñÖÐÐÄΪµÍÐźţ¬ÖÜΧΪ¸ßÐźţ¬Ò»ÖܺóT1ÓëT2Ïñ¾ùΪ¸ßÐźţ¨Í¼ 5£©£¬¶øÄÔ¹£ÈûÔÚ¼±ÐÔÓëÂýÐÔÆÚ¾ù³Ê³¤T1¡¢³¤T2ÐźÅ(ͼ6)¡£
¼±ÐÔ»¯Å§ÐÔÄÔÑ׳ʵÈT1»òÉÔ³¤T1¡¢³¤T2Ðźţ¬±ß½ç²»Çå¡£ÄÔŧÖ×ʱ£¬Å§Ç»ÎªµÍÐźţ¬Å§Ö×±ÚΪµÍÐźŻ·£¬ÖÜΧˮÖ׳ʸßÐźÅÇø¡£
MRIÏÔʾÄÔήËõºÍÄÔ»ýË®ÐÎ̬¸Ä±äÇå³þ¡£¶ÔÓÚÄÔ»ýË®£¬½èÖúÁ÷¿ÕЧӦ»¹¿ÉÁ˽âÄÔÊÒͨµÀÏÁÕ£¬²¢ÅжϹ£×èÊÇ·ñΪÍêÈ«ÐÔ¡£ MRIÔÚÏÔʾ͸Ã÷¸ôȱÈç¡¢ëÝëÕÌåȱÈç¡¢»ÒÖÊÒìλ¡¢ÄԻػûÐκͱâÌÒÌåÏÂðÞÓÅÓÚÆäËû¼ì²é·½·¨¡£
ÍÑËèÇʼ²²¡£¬MRIÏÔʾ²¡ÔîÃô¸Ð£¬ÓÅÓÚÆäËû¼ì²é·½·¨£¬³Ê³¤T1ºÍ³¤T2Ðźţ¬²»ÄÑ×÷³ö¶¨Î»Ó붨Á¿Õï¶Ï£¬µ«¶¨ÐÔÕï¶ÏÔòÐè½áºÏÁÙ´²È«Ãæ·ÖÎö²ÅÓпÉÄÜ¡£ÀýÈ綯ÂöÓ²»¯ÐÔÆ¤ÖÊÏÂÄÔ²¡£¬³£¼û²àÊÒÖÜΧ¼°°ëÂÑÔ²ÖÐÐÄÄÔ°×ÖÊÉ¢·¢»òÈÚºÏ³ÉÆ¬µÄ²¡Ô¶ø²¡Ôî²»ÀÛ¼°ëÝëÕÌåΪÆäÌØµã¡£
¼¹ÖùÓë¼¹Ëè MRI¼ì²é¶àÓÃʸ״¶ÏÃæºÍºá¶ÏÃæ¡£¼¹ËèÖ×Áö¿É¼û¾ÖÏÞÔö´ÖµÄ¼¹ËèÄÚ³öÏÖÒì³£Ðźţ¬¶àΪ³¤T1¡¢¶ÌT2£¬¶¨ÐÔÕï¶ÏÀ§ÄÑ¡£¼¹ËèÍâӲĤÏÂÖ×Áö¿É¼ûÖ×Áö£¬¼¹ËèÒÆÎ»ºÍÖ×ÁöÉÏÏ·½ÖëÍøÄ¤ÏÂÇ»±ä¿í£¬´ÓÐźÅÇ¿¶ÈÉÏÄÑÓÚÇø±ðÉñ¾ÏËάÁöºÍ¼¹Ä¤Áö¡£Ó²Ä¤ÍâÖ×Áö¿É¼ûÖ×Áö¼°ÆäÉÏÏ·½ÖëÍøÄ¤ÏÂÇ»±äպͼ¹ËèÒÆÎ»£¬ÒÆÎ»¶Î½Ï³¤¡¢½ÏÇá¡£×µ¹ÜÄÚÖ¬·¾ÁöT1ÓëT2ÏñÉϱíÏÖΪ֬·¾Ðźţ¬ÓÐÒ»¶¨ÌØÕ÷¡£
×µ¼äÅÌÍѳö£¬T2Ïñ¿ÉÏÔʾ±äÐÔµÄ×µ¼äÅÌÐźŲ»¾ù£¬Í»³öµÄ×µ¼äÅ̲¿·ÖºÍӲĤÄÒǰԵ¾ÖÏÞÐÔѹ¼£¡£¼¹Ëè´ìÉËÓÚ¼¹ËèÄÚ³öÏÖµÍÐźÅÇø£¬¾±¶Î¶à¼û¡£ËèÄÚѪÖ׳ʶÌT1Ðźš£¼¹ËèѪ¹Ü»ûÐÎT2ÏñÔÚ¸ßÐźż¹Ëè¼°ÄÔ¼¹ÒºµÄ±³¾°ÉϳöÏÖµÍÐźŵÄŤÇúѪ¹ÜÍÅÓ°¡£¼¹Ëè¿Õ¶´Ö¢¿É¼û¼¹ËèÔö´ó»ò±äС£¬ÓÚ¼¹ËèÄÚ³öÏÖÓë¼¹Ë賤ÖáÒ»Öµģ¬ÓëÄÔ¼¹ÒºÐźÅÏàͬµÄÄÒÇ»¡£»¹¿É¼û±âÌÒÌåÏÂðÞ¡£
ËðÉËÐÔ¼ì²é
ÐèÍùÌåÄÚ£¨Ñª¹ÜÄÚÊÒ¡¢ÄÔÊÒÄڵȣ©×¢ÈëÒ©Îï»ò¿ÕÆø×÷Ϊ¶Ô±È¼Á¡£
ÄÔѪ¹ÜÔìÓ°ÏòÄÔѪ¹ÜÖÐÒýÈëË®ÈÜÐÔµâÔìÓ°¼Á£¬Ê¹ÄÔѪ¹ÜÏÔÓ°µÄ¼ì²é·½·¨¡£×ÔÓ¦ÓÃCTºó£¬ºÜÉÙÓÃÒÔÕï¶Ï·ÇѪ¹ÜÐÔ¼²²¡£¬µ«ÔÚÄÔ¶¯ÂöÁö¡¢Ñª¹Ü»ûÐκͶ¯¾²ÂöðüµÄÕï¶ÏÓë˨ÈûÖÎÁÆ£»ÔÚÄÔÁöÐèÁ˽⹩Ѫ¶¯Âö£¬ÒÔÐл¯Ñ§ÖÎÁÆ»ò˨ÈûÖÎÁƺÍÄÔ¶¯ÂöÏÁÕ»ò±ÕÈûµÄÕï¶ÏÈÔÊDZز»¿ÉÉٵļì²éÊֶΡ£ÄÔѪ¹ÜÔìÓ°Óо±¶¯ÂöÔìÓ°ºÍ×µ¶¯ÂöÔìÓ°¡£ÏÖ¶àÓÃÈû¶û¶¡¸ñÊϼ¼Êõ¾¹É¶¯Âö²åÈëµ¼¹Ü£¬µ¼¹Ü¼â·ÅÔÚÑ¡¶¨µÄ¶¯ÂöÈë¿Ú´¦£¬ÓÃѹÁ¦×¢ÉäÆ÷×¢ÈëÔìÓ°¼Á¡£Êý×Ö¼õӰѪ¹ÜÔìÓ°¿ÉÏû³ý¹Ç÷ÀºÍÈí×éÖ¯Ó°£¬Ê¹Ñª¹ÜºÍ²¡±äÏÔʾÇå³þ£¬ÒÑÆÕ±éÓ¦Óá£ÓÉÓÚÔìÓ°¼ÁÓÃÁ¿¼õÉÙ£¬·´Ó¦Ò²¼õÇáºÍ¼õÉÙ¡£
ÄÔ¶¯ÂöÁö¶àÆðÓÚÄÔµ×¶¯Âö£¬³ÊÀàÔ²Ðβ¡±ä£¬Ó붯ÂöÏàÁ¬¡£Ñª¹Ü»ûÐοɼûÀ©ÕÅÓØÇúµÄ¶¯Âöµ¼ÈëÒ»ÍÅѪ¹ÜñᣬÓÉÀ©ÕÅÓØÇúµÄ¾²Âöµ¼³ö£¬½øÈë¾²Âöñ¼¡£¶¯¾²Âöðü¶àΪ¾±ÄÚ¶¯Âöº£Ãàñ¼ðü£¬¿É¼ûº£Ãàñ¼ºÍÓëÖ®ÏàÁ¬µÄ¾²Âö£¬ÈçÑÛÉϾ²ÂöÌáǰÓÚ¶¯ÂöÆÚÏÔÓ°£¬²¢ÓÐÀ©ÕÅ¡£ÄÔѪ¹Ü±ÕÈû±íÏÖΪѪ¹Ü±ÕÈû´¦±äÕ»òÖжϣ»±ÕÈûÔ¶²àѪ¹Ü²»ÏÔÓ°£¬¶ø±ÕÈû½ü¶ÎѪ¹Ü¼°·ÖÖ§ÏÔÓ°Á¼ºÃ£»ºÍ³öÏÖ²àÖ§Ñ»·£¬Õï¶Ï²»ÄÑ¡£
¼¹Ë趯ÂöÔìӰΪ¾µ¼¹ÜÏò¼¹Ë趯ÂöÄÚ×¢Èë·ÇÀë×ÓÐ͵âÔìÓ°¼Á£¬ÒÔÏÔʾ¼¹ËèѪ¹Ü»ûÐεļì²é·½·¨¡£ÐÐ×µ¶¯Âö¡¢Àß¾±¸É¼°¾±Éý¶¯ÂöÑ¡ÔñÐÔÔìÓ°¿Éʹ¾±¶Î¼¹Ë趯Âö·ÖÖ§ÏÔÓ°£¬ÐÐÿ֧À߼䶯Âö¼°Ñü¶¯ÂöµÄÑ¡ÔñÐÔÔìÓ°¿ÉÊ¹ÐØ¶Î¼°Ñü¶Î¼¹Ë趯Âö·Ö±ðÏÔÓ°¡£Ðè²ÉÓÃÊý×Ö¼õӰѪ¹ÜÔìÓ°¼¼Êõ¡£ÔìÓ°¿ÉÒýÆðÇû¸É¼°ÏÂÖ«¾·ÂκÍÔÝʱÐÔ¼¹Ë蹦ÄÜÕϰ¡£²Ù×÷½Ï·±£¬ÒªÓÐÒ»¶¨µÄ¾Ñé¡£
¼¹ËèѪ¹Ü»ûÐαíÏÖΪÒì³£µÄѪ¹ÜÍÅ¡£ÔìÓ°¿ÉÃ÷È·²¡±äµÄλÖᢷ¶Î§¡¢¹©Ñª¶¯ÂöºÍÒýÁ÷¾²Âö£¬ÊÇÕï¶ÏºÍ½øÐÐ˨ÈûÖÎÁƼ¹ËèѪ¹Ü»ûÐβ»¿ÉÉٵļì²é·½·¨¡£
¼¹ËèÔìÓ°Êǽ«ÔìÓ°¼Á×¢Èë¼¹ÖëÍøÄ¤ÏÂÇ»ÒÔÏÔʾ¼¹ËèºÍ¼¹Éñ¾£¬ÊÇÕï¶Ï×µ¹ÜÄÚ²¡±äÖØÒª·½·¨Ö®Ò»¡£Í¨¹ý¹Û²ì¼¹ÖëÍøÄ¤ÏÂÇ»ÐÎ̬ºÍÔìÓ°¼ÁÁ÷¶¯Çé¿ö£¬ÒÔÕï¶Ï×µ¹ÜÄÚÖ×Áö¡¢ÖëÍøÄ¤Õ³Á¬¡¢×µ¼äÅÌÍ»³öºÍ»ÆÈÍ´ø·ÊºñµÈ²¡±ä¡£ÔìÓ°¼ÁÐèÓ÷ÇÀë×ÓÐÍË®ÈÜÐÔµâ¼Á£¬¶ø²»ÄÜÓ÷ºÓ°ÆÏ°·»òÒì·ºÓ°ÄÆ¡£µâ±½õ¥ÓëÆøÌåÒѱ»ÌÔÌ¡£
×µ¹ÜÄÚÖ×ÁöÓÚ¼¹ËèÔìÓ°Ï¿ɼûÔìÓ°¼ÁÓÚÖ×Áö´¦Á÷¶¯ÊÜ×è¡£¼¹ËèÄÚÖ×ÁöÒýÆð¼¹Ëè¾Ö²¿Åò´ó£¬¼¹ÖëÍøÄ¤ÏÂÇ»±äÕ¡£¼¹ËèÍâӲĤÄÚÖ×Áö¹£×èÃæ³Ê±¿Ú×´£¬¼¹Ëè±»Ñ¹ÒÆÎ»¡¢±äϸ¡£Ó²Ä¤ÍâÖ×Áö¿É¼ûӲĤÄÒÊÜÑ¹ÒÆÎ»£¬Óë×µ¹ÜÄÚÔµ¼ä¾àÀëÔö´ó¡£ÈôΪÍêÈ«¹£×裬Ôò¹£×èÃæ³ÊÊá³Ý×´¡£
¼¹ÖëÍøÄ¤Õ³Á¬£¬¿É¼ûÔìÓ°¼ÁÁ÷¶¯ÊÜ×裬ÇÒ·ÖɢΪµã×´»ò°ßƬ״£¬ÆäλÖü°ÐÎ̬²»Òò¸Ä±ä¼ì²éÌåλ¶ø±ä»¯¡£
×µ¼äÅÌÍ»³ö£¬¿É¼ûÔÚÍ»³öµÄ×µ¼äÏ¶Æ½ÃæÓ²Ä¤ÄÒǰԵ³öÏÖ»¡ÐÎѹ¼£¡£Ñ¹¼£Éî¶È´óÓÚ 2mmÓÐÕï¶ÏÒâÒå¡£»¹¿É¼û¼¹Éñ¾¸ùÇȨ̂¸ß¼°·â±Õ¡£
»ÆÈÍ´ø·Êºñ¿É¼ûӲĤÄÒºóÍâÔµ³öÏÖ»¡ÐÎѹ¼££¬³£ÀÛ¼°¼¸¸ö¼¹¶Î¡£