运动员心脏

由运动引起的生理性心脏增大。S.E.亨申于1899年首次发现越野滑雪运动员的心脏普遍增大,不仅左心大,右心也大。早期有人认为运动员心脏的增大不是纯生理现象,而是由急性心脏过度负荷和心肌衰竭引起的病理现象,因此曾称之为“运动员心脏综合征”。经过多年的研究,目前认为运动员心脏轻度增大,心功能良好,系运动引起的生理性改变。随着临床医学和基础医学的进展,关于运动员心脏有很多新的资料,并逐渐形成一个新的领域,称为运动心脏学。运动训练使心脏功能加强,除引起心脏增大外,还可表现安静时心率缓慢,出现异常心电图等,在临床上可能与某些心脏病相混淆。

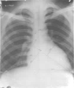
运动员尸检材料发现运动训练可引起明显的心肌肥厚。放射线检查可见运动员心脏面积和容积增大。心面积增大者以耐力训练项目运动员为最多(图1)。心面积增大的程度,多数不超过其预测面积的30%。运动员心脏容积一般也较大,中国正常成人心脏容积最大为870.68ml,中国运动员心脏容积最大者为1209.45ml,其心脏面积也最大(为+55.32%)。外国文献报道,职业自行车运动员和水球运动员心脏容积最大可达1700ml。训练内容不同对心脏的影响也有差别,耐力训练运动员的心脏以心腔扩张为主,力量练习运动员的心肌肥厚可稍占优势。

运动员心脏的X射线影像 男性,24岁,公路自行车运动员,心面积增大50%。

运动员安静时心率缓慢,这特别多见于耐力训练项目(如公路自行车、马拉松、中长跑及足球等)运动员中。中国运动员安静时出现窦性心动过缓者占 54.94%,最慢的是33次/分。国外文献报告动态心电图检查于夜间睡眠时发现运动员心率最慢达21次/分。这些运动员均健康状况良好,可进行正常训练和比赛。

运动员安静时心血输出量减少,每搏量不变或增多,运动后心率加快,最大心率与一般正常人相似,但心输出量明显增多,每搏量也显著加大。

运动员最大摄氧量明显增大,为5000~ 6000ml/分,合 70ml/kg以上, 而一般人为 2000~3000ml/分, 合40ml/kg以下。

在运动员中常可见到过早搏动,室性最多,房性次之,交界性者最少,与一般临床统计结果相似。此种心律失常多因疲劳引起,有些是对训练不适应,常在突然中止训练后或停止训练一时期后重新开始训练时出现,有些原因不明。情绪因素、感染、器质性心脏病者也可发生。若运动员健康状况良好,无其他器质性心脏病证据,仍可进行系统运动训练。早搏只在安静时出现,运动后消失者,多数可参加体力活动,运动后早搏不消失甚至增多者则应减少运动量,并密切随访观察。

房室传导阻滞也较常见,以中长跑、马拉松、篮球及游泳等项目的运动员多见。心电图多数为二度Ⅰ型,多因运动训练使迷走神经张力占优势引起,运动后阻滞消失,运动员无不良主诉,体格检查无其他异常发现。过度疲劳、感染等情况下也可发生,此时应作全面检查。停止训练后阻滞多消失,长期随访观察证明绝大多数为功能性改变,运动员身体健康状况良好。

不完全性右束支传导阻滞在运动员中很多见,可能由右心室舒张期负荷过重或右心室肥厚引起,此种阻滞在停止训练后可减轻甚至消失。

偶见阵发性心动过速、心房颤动、心房扑动及预激综合征,此时应进行详细检查,找出原因;少数因过度疲劳引起,需调整运动量和进行积极治疗。

运动员中可见非特异性T波改变,偶尔可见到巨T倒置心电图。动态观察此种心电图变化较小,定量运动后T波改善,极量运动后即刻T波可正常化。临床检查无其他器质性心脏病证据,一般健康状况良好,运动能力正常,有的可进行大运动量训练,甚至参加激烈的比赛(图2)。

图

根据文献报道,有些巨 T倒置者最长随访22年,未见心脏其他异常,故认为此种巨T倒置不是病理现象,有人认为巨 T倒置与心肌肥厚,特别是心尖部心肌肥厚有关。

运动员中还常见心脏收缩期杂音,多为功能性的,此类杂音强度多在Ⅲ级以下,呈吹风样或震动性质,杂音不固定,多发生在肺动脉区,胸骨左缘三四肋间及心尖部,在青少年运动员中尤为多见。收缩期功能性杂音可因血液迅速喷射引起。有时需与房、室间隔缺损或二尖瓣关闭不全鉴别。运动员心音图上收缩期杂音的出现率更高,为一般正常人心音图的2倍。功能性收缩期杂音心音图有以下现象:第一心音后到收缩期杂音开始前有一间隙;杂音持续,但不占全收缩期;杂音在中频心音图上最明显;杂音呈菱形、递减形或不定形。运动员中第三心音也较多见,为生理性第三心音,有时需与病理性第三心音及二尖瓣开放拍击音鉴别。