大连热电股份有限公司北海热电厂中水回用项目的目的是解决购买城市自来水作为工业用水的资金压力以及发电成本的上升等问题,目标是建立一个规模400 t/h的中水回用装置,将大连市春柳河污水处理厂排放水进行反渗透深度处理,作为北海热电厂冷却水及锅炉补给水的源水。而反渗透成功的关键是其前期的
预处理 工作。本试验是在实验室中做的预处理 小试试验的一部分。
生物膜法是根据土壤自净原理发展起来的水处理法,它和活性污泥法同属于好氧生物处理方法。与传统的生化水处理技术相比,生物膜法具有以下特点:附着于填料表面的微生物对废水水质、水量的变化有很强适应性;管理方便,操作简单;能构成稳定的生态系;不造成二次污染。本文利用日本NET公司研制的Biofilter作为生物膜填料,对其在反渗透
预处理 中的应用效果进行了考察。
1 试验装置与方法
1.1 试验装置
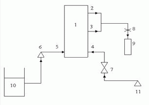
试验装置如图1所示,反应器材质为有机玻璃,有效容积18.7 L,采用溢流出水方式控制反应器液位,填料以S形固定在支架上,浸没在反应器中,填料的下方设三根微孔曝气管和两个砂头,为微生物提供必要的溶解氧的同时,在反应器中形成湍流使溶液冲刷填料表面。由恒温器控制生物膜反应器的温度在25
℃。

图1 试验装置(部分)
1-生物膜反应器; 2-上层清液出水口; 3-出水口;4-曝气口;5-进水口;6-进水计量泵;7-空气转子流量计;8-夹子; 9-量筒; 10-进水箱;11-气泵
1.2 生物膜填料
Biofilter为日本NET化工公司生产的一种新型生物膜填料,该填料的材质为聚乙烯酯,外形为网状,内部有十字支撑,强度好,有良好的可伸展性,密度约为0.8
g/cm3,由于该填料有很强的挂膜能力,且挂膜密度大,故长满生物膜后的比重大于1。

图2 Biofilter填料照片
1.3 试验用水
试验用水为人工配制模拟大连市春柳河污水处理厂二沉池出水。选用蔗糖为碳源,尿素为氮源配水,COD∶N为10∶1,并投加少量的MgCl2、CaCl2、NaCl和KCl以提供微量元素,使用NaHCO3调节pH约为7。初始进水的COD值为200
mg/L左右,当处理效果稳定一周后逐步增大进水COD的浓度,每次在原水COD浓度的基础上增大100 mg/L。
1.4 分析方法
溶解氧DO、pH、流量,MLSS、MLVSS、进出水及上清液的CODCr、NH4+-N、NO2--N、NO3--N及TN和出水悬浮物SS(滤纸法)的检测方法按照《水和废水检测分析方法》。
1.5 污泥驯化
活性污泥取自大连市春柳河污水处理厂回流污泥池,其MLVSS/MLSS为0.58;污泥颜色发黑,有H2S的臭味。首先将取来的污泥反复淘洗,去掉上层漂浮物和下层大块沉积物,留下颗粒细小的污泥;然后空曝气若干小时,利用内源呼吸作用,使异氧菌自身消耗并去掉有毒物质;最后,把污泥倒入塑料桶中进行间歇培养。
由于普通活性污泥以异氧菌为主,硝化菌数量极少,必须要进行驯化培养,才能满足正常硝化的需要。另外,硝化菌为高度好氧菌,专性化能自养,生长缓慢,产率低,对环境条件反应敏感,所以驯化培养的时候要特别注意控制反应条件。用NaHCO3控制pH在7~8,温度维持在25℃左右。连续曝气,每隔一天换一次水。排水时,停止曝气,污泥沉淀后,倒出上清液的三分之二,换以新配制的水。经数次后,污泥外观颜色转为棕褐色,在显微镜下,可观察到污泥絮体密实,菌胶团透明度高,原生动物较多,主要为钟虫和累枝虫,这说明污泥的驯化培养过程结束。
1.6 载体挂膜
所谓载体挂膜就是将培养好的污泥移入反应器中,使菌胶团和少量的细菌截留附着在载体表面,这些固着的微生物将摄取废水中的营养物质,进行新陈代谢等生命活动,并在载体表面生长繁殖,逐渐形成薄的胶质粘膜。随着时间的推移,微生物不断增长,从载体表面向外扩散,逐步覆盖已形成的膜层,进而形成成熟的生物膜。
将培养好的污泥倒入反应器中,同时加入碳源、氮源和微量元素,使反应器中的COD∶N=20∶1,调节pH至7.5~8.0,维持反应器温度在25 ℃ 左右。本实验挂膜方法采用排泥挂膜法,整个挂膜共分两个阶段进行。
(1)静态挂膜期间,不连续进出水,定时向反应器内投加一些营养物质,连续曝气。静态生物挂膜主要起生物接种作用,即将接种污泥加入反应器,为部分污泥截留附着在载体表面并在其上繁殖生长创造适宜的条件,期间每运行到24
h重新添加碳源和氮源,静态挂膜一般持续2-3 d。
(2)动态挂膜:静态挂膜2-3 d后,开始对反应器进行动态挂膜。动态挂膜期间,连续进水和出水。并根据COD的降解情况逐步缩短水力停留时间(从6
h开始逐步缩短)。
1.7 生物膜电子显微镜照片观察分析
从反应器中取一小部分生物膜,置于电子显微镜(JXA840)下进行不同放大倍数的观察和拍照。通过观察发现反应器中生物膜的微生物分为生物膜微生物和生物膜面生物。
2 试验结果与讨论
2.1 载体挂膜
图3为静态挂膜期间的填料照片,从图中可以看出,白色的载体略微变黄,已有部分污泥被附着在填料上。

图3 静态挂膜后填料照片
动态挂膜后,可观察到几乎所有载体表面都有浅黄色半透明的生物膜分布,但此时生物膜发育尚不成熟,表现为仅覆盖载体部分表面,厚度较小,絮状物松散,不致密,在此后的运行中,生物膜不断发育,标志生物絮体发育良好的固着型纤毛虫、钟虫的数量也越来越多,大约一个月左右,生物膜发育成熟,此时,生物膜均匀分布于载体表面,越靠近载体表面越致密,反之越松散,同时载体颜色变深,标志整个反应器系统挂膜成功。

图4 动态挂膜后填料照片
通过测量挂膜前后反应器溶液的MLSS,可以计算出填料上所附着活性污泥的质量,进而求出挂膜阶段初期平均每克填料上负载0.42 g活性污泥。
挂膜2~3星期后,生物膜进入成熟期,此时生物膜生长与衰亡的速率达到平衡,在反应器中形成了稳定的生态体系,因此对污染物的去除效果趋于稳定。

图5 生物膜成熟后的填料照片
2.2 污染物质去除效果
2.2.1 生物膜对COD的去除效果
从图6可以看出,挂膜后大约两个星期的时间属于停滞期;在这个阶段,细菌不立即生长繁殖,经一段适应期才能在新的环境中生长繁殖,有的细菌产生适应酶,菌体的细胞物质开始增加,细菌总数不增加,有的细菌不适应新环境而死亡,所以,细菌数有所减少,造成COD的去除效果不是十分明显;两个星期后,适应的细菌生长到一定程度便开始细胞分裂,进入加速期;此时细菌的生长繁殖速度逐渐加快,细菌总数迅速增加,生物膜处于高速生长阶段,呈浓密羊毛状,流动性很大,且生物膜已经生长成熟,反应器中形成了稳定的生态体系,反应器有足够的生物活性,对原水COD的处理能力可达90%以上;在运行28
d后将原水COD的负荷从250 mg/L增加到350 mg/L,运行42 d后将原水COD的负荷从350mg/L增加到450mg/L,运行56 d后将原水COD的负荷从450mg/L增加到600mg/L,以及运行72
d后将原水COD负荷从600 mg/L增加到700 mg/L时,生物膜反应器均需要一定的时间使系统重新达到平衡,实验发现,COD负荷增加以后,需要5 d左右的时间使反应器达到平衡,COD的降解能力重新达到90%以上。

图6 COD去除效果图
2.2.2 生物膜对TN的去除效果
从图7可以看出,TN的去除效果不是十分理想。这是由于系统的曝气量为0.2 m3/h,DO平均值为6.0 mg/L,供氧充分,且大曝气量的冲刷作用使得菌胶团较小,主要是好氧菌存在,硝化反应占绝对优势,故反硝化作用不明显,TN去除率较低。
2.2.3 出水SS变化效果
出水SS是水质一个十分重要的指标,它的大小直接关系着该工艺流程的经济性和可行性。出水SS越小,对二沉池和膜过滤装置的要求越低,从而降低了成本,具有很高的应用价值。

图7 TN去除效果图

图8 SS变化效果图
从图8可以看出,出水SS一直保持在100 mg/L以下。这是由于Biofilter填料外形为网状,内部有十字支撑,这些特点使得生物膜在填料表面生长得十分牢固,具有很强的耐冲刷能力,不易脱落;而且反应器中存在大量的滤池扫除生物,例如轮虫、线虫、寡毛类的沙蚕等,它们有去除反应器污泥、防止污泥积聚和堵塞的功能,降低了出水SS。
2.3 生物膜电子显微镜照片观察分析
生物膜微生物是以菌胶团为主要组分,辅以球衣菌、藻类等。生物膜面生物是固着型的纤毛虫(例如钟虫、累枝虫、独缩虫等)及游泳型纤毛虫(例如楯纤虫、斜管虫、尖毛虫、豆形虫等),它们促进反应器净化速度,提高反应器整体的处理效率;此外,还有大量的滤池扫除生物。
图9和图10中分别是通过电子显微镜观察到的生物膜的菌胶团中轮虫和丝状菌的照片。

图9 轮虫在电子显微镜下的照片

图10 丝状菌在电子显微镜下的照片
另外,从反应器中取出几块填料,将填料上负载的生物膜用水冲刷掉,取平行样测定生物膜的MLVSS/MLSS,从而推断出生物膜的活性大小;并可以计算出单位质量填料所负载生物膜的质量。本实验测得该填料上所负载生物膜的MLVSS/MLSS=90.1;平均每克填料上负载0.54
g生物膜,与挂膜初期阶段相比,平均每克填料上负载的生物膜的量增加了0.12 g。以上数据说明Biofilter填料有很强的挂膜能力,单从负载能力来说,Biofilter填料是普通填料的3~5倍;而且从MLVSS/MLSS可以分析出Biofilter填料上所负载的生物膜不仅多,而且有很强的生物活性。
3 结 论
(1)通过实验发现Biofilter填料挂膜速度快,一般只需一周左右的时间即可完成;挂膜能力强,其挂膜能力是普通填料的3~5倍。
(2)在6 h的水力停留时间下,对原水COD的处理效果可达90%以上,减少了有机物对反渗透膜的几率。
(3)出水SS始终保持在100mg/L以下,因此对二沉池和膜过滤装置的要求比较小,减少了占地面积,降低了成本,这被视为是Biofilter填料最大的优点。














